• Tel: 858.663.9055
  • SeparatorEmail: info@nsjbio.com
  • Tel: 858.663.9055
  • Email: info@nsjbio.com
Home >> Antibodies >> PRTN3 Antibody / Proteinase 3 / Myeloblastin

PRTN3 Antibody / Proteinase 3 / Myeloblastin (RQ8145)

  Catalog No Formulation Size Price (USD)  
Image RQ8145 0.5mg/ml if reconstituted with 0.2ml sterile DI water 100 ug 439
Bulk quote request
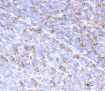
IHC staining of FFPE human tonsil tissue with PRTN3 antibody. HIER: boil tissue sections in pH8 EDTA for 20 min and allow to cool before testing.
IHC staining of FFPE human lung adenocarcinoma tissue with PRTN3 antibody. HIER: boil tissue sections in pH8 EDTA for 20 min and allow to cool before testing.
Western blot testing of human ThP-1 cell lysate with PRTN3 antibody. Predicted molecular weight ~28 kDa but may be observed at higher molecular weights due to glycosylation.
Flow cytometry testing of fixed and permeabilized human ThP-1 cells with PRTN3 antibody at 1ug/million cells (blocked with goat sera); Red=cells alone, Green=isotype control, Blue= PRTN3 antibody.
Availability 1-3 business days
Species Reactivity Human
Format Antigen affinity purified
Clonality Polyclonal (rabbit origin)
Isotype Rabbit IgG
Purity Antigen affinity purified
Buffer Lyophilized from 1X PBS with 2% Trehalose
UniProt P24158
Applications Western Blot : 0.5-1ug/ml
Immunohistochemistry (FFPE) : 2-5ug/ml
Flow Cytometry : 1-3ug/million cells
Direct ELISA : 0.1-0.5ug/ml
Limitations This PRTN3 antibody is available for research use only.
Review this product on BioCompare and get a $20 Amazon gift card

Related Products

Description

Proteinase 3, also known as PRTN3 and Myeloblastin, is an enzyme that in humans is encoded by the PRTN3 gene. Enables enzyme binding activity; serine-type endopeptidase activity; and signaling receptor binding activity. Involved in several processes, including mature conventional dendritic cell differentiation; membrane protein ectodomain proteolysis; and neutrophil extravasation. Located in azurophil granule lumen; cytosol; and plasma membrane raft. Colocalizes with plasma membrane.

Application Notes

Optimal dilution of the PRTN3 antibody should be determined by the researcher.

Immunogen

E. coli-derived recombinant human protein (amino acids A23-D241) was used as the immunogen for the PRTN3 antibody.

Storage

After reconstitution, the PRTN3 antibody can be stored for up to one month at 4oC. For long-term, aliquot and store at -20oC. Avoid repeated freezing and thawing.

Cross
Bulk Quote Request Form
Name*:
Organization*:
Email*:
Phone Number*:
Catalog No.*:
Comments and Specifics(amount, formulation, etc.)*:
Validation code: Captchapackage Image


Can't read the image? click here to refresh.
    *required field

Your bulk quote request has been submitted successfully!

Please contact us if you have any questions.