• Tel: 858.663.9055
  • SeparatorEmail: info@nsjbio.com
  • Tel: 858.663.9055
  • Email: info@nsjbio.com
Home >> Antibodies >> PRTFDC1 Antibody / Phosphoribosyltransferase domain-containing protein 1

PRTFDC1 Antibody / Phosphoribosyltransferase domain-containing protein 1 (RQ8102)

  Catalog No Formulation Size Price (USD)  
Image RQ8102 0.5mg/ml if reconstituted with 0.2ml sterile DI water 100 ug 439
Bulk quote request
Immunofluorescent staining of FFPE human A431 cells with PRTFDC1 antibody (red) and DAPI nuclear stain (blue). HIER: steam section in pH6 citrate buffer for 20 min.
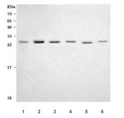
Western blot testing of 1) human Caco-2, 2) human HeLa, 3) human A549, 4) human K562, 5) rat brain and 6) mouse brain tissue lysate with PRTFDC1 antibody. Predicted molecular weight ~26 kDa, ~22 kDa, ~20 kDa (three isoforms).
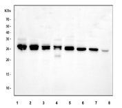
Western blot testing of 1) human Caco-2, 2) human HEL, 3) human A549, 4) human K562, 5) rat brain, 6) rat liver, 7) mouse brain and 8) mouse liver tissue lysate with PRTFDC1 antibody. Predicted molecular weight ~26 kDa, ~22 kDa, ~20 kDa (three isoforms).
Immunofluorescent staining of FFPE human A549 cells with PRTFDC1 antibody (green) and Alpha Tubulin mAb (red). HIER: steam section in pH6 citrate buffer for 20 min.
Immunoprecipitation of PRTFDC1 protein from 500ug of human A549 whole cell lysate with 2ug of PRTFDC1 antibody.
Flow cytometry testing of fixed and permeabilized human Caco-2 cells with PRTFDC1 antibody at 1ug/million cells (blocked with goat sera); Red=cells alone, Green=isotype control, Blue= PRTFDC1 antibody.
Availability 1-3 business days
Species Reactivity Human, Mouse, Rat
Format Antigen affinity purified
Clonality Polyclonal (rabbit origin)
Isotype Rabbit IgG
Purity Antigen affinity purified
Buffer Lyophilized from 1X PBS with 2% Trehalose
UniProt Q9NRG1
Localization Cytoplasm, nucleus
Applications Western Blot : 0.5-1ug/ml
Immunofluorescence : 5ug/ml
Immunoprecipitation : 2ug per 500ug of lysate
Flow Cytometry : 1-3ug/million cells
Direct ELISA : 0.1-0.5ug/ml
Limitations This PRTFDC1 antibody is available for research use only.
Review this product on BioCompare and get a $20 Amazon gift card

Description

PRTFDC1 (Phosphoribosyltransferase domain-containing protein 1) is a member of the phosphoribosyltransferase superfamily, characterized by its conserved catalytic domain architecture. While its precise biological substrates and full range of physiological functions remain under investigation, PRTFDC1 shares structural similarity with enzymes involved in nucleotide metabolism, suggesting potential roles in purine or pyrimidine salvage pathways. Bioinformatic and biochemical studies have indicated that it may participate in maintaining nucleotide balance and supporting metabolic adaptability.

PRTFDC1 expression has been detected in multiple tissues, and its conservation across species points to a fundamental role in cellular homeostasis. As a relatively understudied protein, PRTFDC1 is gaining interest in functional genomics and proteomics research aimed at uncovering its interactions, regulatory mechanisms, and contributions to broader metabolic networks.

The PRTFDC1 antibody is a dependable reagent for detecting endogenous PRTFDC1 in applications such as western blot, immunofluorescence, and immunohistochemistry. Researchers use the PRTFDC1 antibody from NSJ Bioreagents to quantify protein levels, map cellular localization, and explore its involvement in nucleotide-related biochemical processes. With high specificity and consistent performance, the PRTFDC1 antibody supports targeted studies in enzymology, metabolic regulation, and protein function discovery.

Application Notes

Optimal dilution of the PRTFDC1 antibody should be determined by the researcher.

Immunogen

E. coli-derived recombinant human protein (amino acids E6-V225) was used as the immunogen for the PRTFDC1 antibody.

Storage

After reconstitution, the PRTFDC1 antibody can be stored for up to one month at 4oC. For long-term, aliquot and store at -20oC. Avoid repeated freezing and thawing.

Cross
Bulk Quote Request Form
Name*:
Organization*:
Email*:
Phone Number*:
Catalog No.*:
Comments and Specifics(amount, formulation, etc.)*:
Validation code: Captchapackage Image


Can't read the image? click here to refresh.
    *required field

Your bulk quote request has been submitted successfully!

Please contact us if you have any questions.