• Tel: 858.663.9055
  • SeparatorEmail: info@nsjbio.com
  • Tel: 858.663.9055
  • Email: info@nsjbio.com
Home >> Antibodies >> PRRT1 Antibody / Proline-rich transmembrane protein 1 / SynDIG4

PRRT1 Antibody / Proline-rich transmembrane protein 1 / SynDIG4 (RQ8436)

  Catalog No Formulation Size Price (USD)  
Image RQ8436 0.5mg/ml if reconstituted with 0.2ml sterile DI water 100 ug 439
Bulk quote request
Immunofluorescent staining of FFPE human U-2 OS cells with PRRT1 antibody (green) and DAPI nuclear stain (blue). HIER: steam section in pH6 citrate buffer for 20 min.
IHC staining of FFPE mouse brain tissue with PRRT1 antibody. HIER: boil tissue sections in pH8 EDTA for 20 min and allow to cool before testing.
IHC staining of FFPE rat brain tissue with PRRT1 antibody. HIER: boil tissue sections in pH8 EDTA for 20 min and allow to cool before testing.
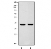
Western blot testing of 1) rat brain and 2) mouse brain tissue lysate with PRRT1 antibody. Predicted molecular weight ~31 kDa, commonly observed at 35-40 kDa.
Flow cytometry testing of fixed and permeabilized human SH-SY5Y cells with PRRT1 antibody at 1ug/million cells (blocked with goat sera); Red=cells alone, Green=isotype control, Blue= PRRT1 antibody.
Availability 1-3 business days
Species Reactivity Human, Mouse, Rat
Format Antigen affinity purified
Clonality Polyclonal (rabbit origin)
Isotype Rabbit IgG
Purity Antigen affinity purified
Buffer Lyophilized from 1X PBS with 2% Trehalose
UniProt Q99946
Applications Western Blot : 0.5-1ug/ml
Immunohistochemistry (FFPE) : 2-5ug/ml
Immunofluorescence : 5ug/ml
Flow Cytometry : 1-3ug/million cells
Direct ELISA : 0.1-0.5ug/ml
Limitations This PRRT1 antibody is available for research use only.
Review this product on BioCompare and get a $20 Amazon gift card

Description

Enables identical protein binding activity. Predicted to be involved in several processes, including long-term synaptic depression; protein localization to cell surface; and regulation of AMPA receptor activity. Predicted to act upstream of or within several processes, including learning or memory; long-term synaptic potentiation; and synapse organization. Predicted to be located in postsynaptic density membrane and synaptic vesicle membrane. Predicted to be active in glutamatergic synapse and membrane. Predicted to be integral component of postsynaptic membrane.

Application Notes

Optimal dilution of the PRRT1 antibody should be determined by the researcher.

Immunogen

An E.coli-derived human recombinant protein (M1-N270) was used as the immunogen for the PRRT1 antibody.

Storage

After reconstitution, the PRRT1 antibody can be stored for up to one month at 4oC. For long-term, aliquot and store at -20oC. Avoid repeated freezing and thawing.

Cross
Bulk Quote Request Form
Name*:
Organization*:
Email*:
Phone Number*:
Catalog No.*:
Comments and Specifics(amount, formulation, etc.)*:
Validation code: Captchapackage Image


Can't read the image? click here to refresh.
    *required field

Your bulk quote request has been submitted successfully!

Please contact us if you have any questions.