• Tel: 858.663.9055
  • SeparatorEmail: info@nsjbio.com
  • Tel: 858.663.9055
  • Email: info@nsjbio.com
Home >> Antibodies >> PrP Antibody / Prion Protein

PrP Antibody / Prion Protein [clone EHH-16] (RQ5040)

  Catalog No Formulation Size Price (USD)  
Image RQ5040 Antibody in PBS with 0.02% sodium azide, 50% glycerol and 0.4-0.5mg/ml BSA 100 ul 439
Microvalidated Rab Mono Image
Bulk quote request
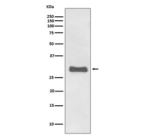
Western blot testing of human fetal brain lysate with PrP antibody. Expected molecular weight: 20-29 kDa.
Availability 1-2 weeks
Species Reactivity Human
Format Purified
Clonality Rabbit Monoclonal
Isotype Rabbit IgG
Clone Name EHH-16
Purity Affinity purified
UniProt P04156
Applications Western Blot : 1:1000-1:2000
Limitations This PrP antibody is available for research use only.
Review this product on BioCompare and get a $20 Amazon gift card

Related Products

Description

The protein encoded by this gene is a membrane glycosylphosphatidylinositol-anchored glycoprotein that tends to aggregate into rod-like structures. [RefSeq]

Application Notes

Optimal dilution of the PrP antibody should be determined by the researcher.

Immunogen

A synthetic peptide specific to human Prion Protein / PRNP was used as the immunogen for the PrP antibody.

Storage

Store the PrP antibody at -20oC.

Cross
Bulk Quote Request Form
Name*:
Organization*:
Email*:
Phone Number*:
Catalog No.*:
Comments and Specifics(amount, formulation, etc.)*:
Validation code: Captchapackage Image


Can't read the image? click here to refresh.
    *required field

Your bulk quote request has been submitted successfully!

Please contact us if you have any questions.