• Tel: 858.663.9055
  • SeparatorEmail: info@nsjbio.com
  • Tel: 858.663.9055
  • Email: info@nsjbio.com
Home >> Antibodies >> Prothrombin Antibody

Prothrombin Antibody [clone 4G13G9] (RQ6744)

  Catalog No Formulation Size Price (USD)  
Image RQ6744 0.5mg/ml if reconstituted with 0.2ml sterile DI water 100 ug 439
Bulk quote request
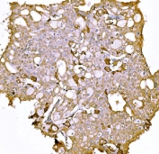
IHC staining of FFPE human ovarian cancer tissue with Prothrombin antibody. HIER: boil tissue sections in pH8 EDTA for 20 min and allow to cool before testing.
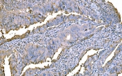
IHC staining of FFPE human colorectal cancer tissue with Prothrombin antibody. HIER: boil tissue sections in pH8 EDTA for 20 min and allow to cool before testing.
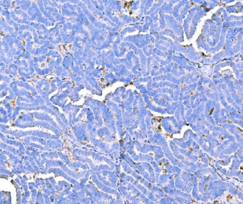
IHC staining of FFPE human liver cancer tissue with Prothrombin antibody. HIER: boil tissue sections in pH8 EDTA for 20 min and allow to cool before testing.
Western blot testing of human HepG2 cell lysate with Prothrombin antibody. Predicted molecular weight ~70 kDa, but may be observed at higher molecular weights due to glycosylation.
Availability 1-3 business days
Species Reactivity Human
Format Purified
Clonality Monoclonal (mouse origin)
Isotype Mouse IgG2b
Clone Name 4G13G9
Purity Antigen affinity purified
Buffer Lyophilized from 1X PBS with 2% Trehalose
UniProt P00734
Localization Secreted
Applications Western Blot : 1-2ug/ml
Immunohistochemistry (FFPE) : 2-5ug/ml
Limitations This Prothrombin antibody is available for research use only.
Review this product on BioCompare and get a $20 Amazon gift card

Related Products

Description

F2 (Coagulation Factor II), also known as thrombin, is a serine protease that in humans is encoded by the F2 gene. This gene for human prothrombin (F2) was assigned to chromosome 11p11-q12 by analysis of a panel of somatic cell hybrid DNAs and by in situ hybridization, using both cDNA and genomic probes. The activated thrombin enzyme plays an important role in hemostasis and thrombosis: it converts fibrinogen to fibrin for blood clot formation, stimulates platelet aggregation, and activates coagulation factors V, VIII (F8), and XIII (F13A1). Thrombin also inhibits coagulation by activating protein C.

Application Notes

Optimal dilution of the Prothrombin antibody should be determined by the researcher.

Immunogen

Recombinant human protein (amino acids Y97-R124) was used as the immunogen for the Prothrombin antibody.

Storage

After reconstitution, the Prothrombin antibody can be stored for up to one month at 4oC. For long-term, aliquot and store at -20oC. Avoid repeated freezing and thawing.

Cross
Bulk Quote Request Form
Name*:
Organization*:
Email*:
Phone Number*:
Catalog No.*:
Comments and Specifics(amount, formulation, etc.)*:
Validation code: Captchapackage Image


Can't read the image? click here to refresh.
    *required field

Your bulk quote request has been submitted successfully!

Please contact us if you have any questions.