• Tel: 858.663.9055
  • SeparatorEmail: info@nsjbio.com
  • Tel: 858.663.9055
  • Email: info@nsjbio.com
Home >> Antibodies >> Protein-glutamine gamma-glutamyltransferase 2 Antibody / Transglutaminase 2

Protein-glutamine gamma-glutamyltransferase 2 Antibody / Transglutaminase 2 (F54953)

  Catalog No Formulation Size Price (USD)  
Image F54953-0.4ML In 1X PBS, pH 7.4, with 0.09% sodium azide 0.4 ml 429
Image
F54953-0.08ML In 1X PBS, pH 7.4, with 0.09% sodium azide 0.08 ml 199
Bulk quote request
Western blot testing of human 1) HUVEC and 2) K562 cell lysate with Protein-glutamine gamma-glutamyltransferase 2 antibody. Predicted molecular weight ~78 kDa.
Western blot testing of human HeLa cell lysate with Protein-glutamine gamma-glutamyltransferase 2 antibody. Predicted molecular weight ~78 kDa.
Immunofluorescent staining of fixed and permeabilized human U-251 cells with Protein-glutamine gamma-glutamyltransferase 2 antibody (green), DAPI nuclear stain (blue) and anti-Actin (red).
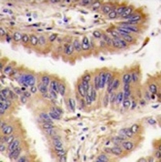
IHC testing of FFPE human lung carcinoma tissue with Protein-glutamine gamma-glutamyltransferase 2 antibody. HIER: steam section in pH6 citrate buffer for 20 min and allow to cool prior to staining.
Availability 1-3 business days
Species Reactivity Human
Format Purified
Clonality Polyclonal (rabbit origin)
Isotype Rabbit Ig
Purity Purified
UniProt P21980
Localization Cytoplasmic and cell surface
Applications Western Blot : 1:500-1:1000
Immunofluorescence : 1:10-1:50
Immunohistochemistry (FFPE) : 1:10-1:50
Limitations This Protein-glutamine gamma-glutamyltransferase 2 antibody is available for research use only.
Review this product on BioCompare and get a $20 Amazon gift card

Related Products

Description

Transglutaminases are enzymes that catalyze the crosslinking of proteins by epsilon-gamma glutamyl lysine isopeptide bonds. While the primary structure of transglutaminases is not conserved, they all have the same amino acid sequence at their active sites and their activity is calcium-dependent. TGM2 acts as a monomer, is induced by retinoic acid, and appears to be involved in apoptosis. It has been identified as the autoantigen implicated in celiac disease.

Application Notes

The stated application concentrations are suggested starting points. Titration of the Protein-glutamine gamma-glutamyltransferase 2 antibody may be required due to differences in protocols and secondary/substrate sensitivity.

Immunogen

A portion of amino acids 429-458 from the human protein was used as the immunogen for the Protein-glutamine gamma-glutamyltransferase 2 antibody.

Storage

Aliquot the Protein-glutamine gamma-glutamyltransferase 2 antibody and store frozen at -20oC or colder. Avoid repeated freeze-thaw cycles.

Cross
Bulk Quote Request Form
Name*:
Organization*:
Email*:
Phone Number*:
Catalog No.*:
Comments and Specifics(amount, formulation, etc.)*:
Validation code: Captchapackage Image


Can't read the image? click here to refresh.
    *required field

Your bulk quote request has been submitted successfully!

Please contact us if you have any questions.