• Tel: 858.663.9055
  • SeparatorEmail: info@nsjbio.com
  • Tel: 858.663.9055
  • Email: info@nsjbio.com
Home >> Antibodies >> Protein disulfide-isomerase A3 Antibody / PDIA3 / ERp57

Protein disulfide-isomerase A3 Antibody / PDIA3 / ERp57 (F54794)

  Catalog No Formulation Size Price (USD)  
Image F54794-0.4ML In 1X PBS, pH 7.4, with 0.09% sodium azide 0.4 ml 429
Image
F54794-0.08ML In 1X PBS, pH 7.4, with 0.09% sodium azide 0.08 ml 199
Bulk quote request
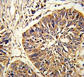
IHC testing of FFPE human lung carcinoma tissue with Protein disulfide-isomerase A3 antibody. HIER: steam section in pH6 citrate buffer for 20 min and allow to cool prior to staining.
Western blot testing of human A2058 cell lysate with Protein disulfide-isomerase A3 antibody. Predicted molecular weight ~57 kDa.
Western blot testing of 1) non-transfected and 2) transfected 293 cell lysate with Protein disulfide-isomerase A3 antibody.
Flow cytometry testing of human NCI-H292 cells with Protein disulfide-isomerase A3 antibody; Blue=isotype control, Green= Protein disulfide-isomerase A3 antibody.
Availability 1-3 business days
Species Reactivity Human
Format Purified
Clonality Polyclonal (rabbit origin)
Isotype Rabbit Ig
Purity Purified
UniProt P30101
Localization Cytoplasmic
Applications Flow Cytometry : 1:10-1:50 (1x10e6 cells)
Immunohistochemistry (FFPE) : 1:50-1:100
Western Blot : 1:500-1:1000
Limitations This Protein disulfide-isomerase A3 antibody is available for research use only.
Review this product on BioCompare and get a $20 Amazon gift card

Related Products

  • Applications : WB, ELISA (peptide)
    Reactivity : Human, Mouse
    Pred. Reactivity : Cow, Rat
  • Applications : FACS, IHC-P, WB
    Reactivity : Human

Description

PDIA3 is the endoplasmic reticulum that interacts with lectin chaperones calreticulin and calnexin to modulate folding of newly synthesized glycoproteins. The protein was once thought to be a phospholipase; however, it has been demonstrated that the protein actually has protein disulfide isomerase activity. It is thought that complexes of lectins and this protein mediate protein folding by promoting formation of disulfide bonds in their glycoprotein substrates.

Application Notes

The stated application concentrations are suggested starting points. Titration of the Protein disulfide-isomerase A3 antibody may be required due to differences in protocols and secondary/substrate sensitivity.

Immunogen

A portion of amino acids 446-475 from the human protein was used as the immunogen for the Protein disulfide-isomerase A3 antibody.

Storage

Aliquot the Protein disulfide-isomerase A3 antibody and store frozen at -20oC or colder. Avoid repeated freeze-thaw cycles.

Cross
Bulk Quote Request Form
Name*:
Organization*:
Email*:
Phone Number*:
Catalog No.*:
Comments and Specifics(amount, formulation, etc.)*:
Validation code: Captchapackage Image


Can't read the image? click here to refresh.
    *required field

Your bulk quote request has been submitted successfully!

Please contact us if you have any questions.