• Tel: 858.663.9055
  • SeparatorEmail: info@nsjbio.com
  • Tel: 858.663.9055
  • Email: info@nsjbio.com
Home >> Antibodies >> Prostate Specific Antigen Antibody / PSA

Prostate Specific Antigen Antibody / PSA [clone RM323] (R20347)

  Catalog No Formulation Size Price (USD)  
Image R20347-0.1ML Antibody in PBS with 50% glycerol, 1% BSA and 0.09% sodium azide 100 ul 429
Microvalidated Recrabbitmono
Bulk quote request
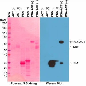
Western blot testing of PSA (purified from human seminal fluid), ACT (alpha 1-antichymotrypsin, from human plasma), and PSA-ACT complex, under non-reduced(-) or reduced(+) conditions, using recombinant Prostate Specific Antigen antibody at 1:2500.
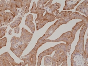
IHC staining of FFPE human prostate cancer tissue with recombinant Prostate Specific Antigen antibody at 1:1000.
A titer ELISA of PSA (purified from human seminal fluid). The plate was coated with different amounts of PSA. A serial dilution of recombinant Prostate Specific Antigen antibody was used as the primary. An alkaline phosphatase conjugated anti-rabbit IgG as the secondary.
Availability 1-3 business days
Species Reactivity Human
Format Purified
Clonality Recombinant Rabbit Monoclonal
Isotype Rabbit IgG
Clone Name RM323
Purity Protein A purified from animal origin-free supernatant
UniProt P07288
Applications Immunohistochemistry (FFPE) : 1:500-1:1000
Western Blot (Non-reduced) : 1:1000-1:2500
ELISA : 1:100-1:5000
Limitations This recombinant Prostate Specific Antigen antibody is available for research use only.
Review this product on BioCompare and get a $20 Amazon gift card

Related Products

Description

This antibody reacts to native human PSA (Prostate Specific Antigen), including both free (unbound) form and in a complex with ACT (alpha 1-antichymotrypsin). It may react to reduced PSA at a higher concentration.

Application Notes

The stated application concentrations are suggested starting points. Titration of the recombinant Prostate Specific Antigen antibody may be required due to differences in protocols and secondary/substrate sensitivity.

Immunogen

Native PSA protein purified from human seminal fluid was used as the immunogen for the recombinant Prostate Specific Antigen antibody.

Storage

Store the recombinant Prostate Specific Antigen antibody at -20oC.

Cross
Bulk Quote Request Form
Name*:
Organization*:
Email*:
Phone Number*:
Catalog No.*:
Comments and Specifics(amount, formulation, etc.)*:
Validation code: Captchapackage Image


Can't read the image? click here to refresh.
    *required field

Your bulk quote request has been submitted successfully!

Please contact us if you have any questions.