• Tel: 858.663.9055
  • SeparatorEmail: info@nsjbio.com
  • Tel: 858.663.9055
  • Email: info@nsjbio.com
Home >> Antibodies >> Prostaglandin E synthase 2 Antibody / PTGES2

Prostaglandin E synthase 2 Antibody / PTGES2 (RQ6672)

  Catalog No Formulation Size Price (USD)  
Image RQ6672 0.5mg/ml if reconstituted with 0.2ml sterile DI water 100 ug 439
Bulk quote request
Immunofluorescent staining of FFPE human HeLa cells with Prostaglandin E synthase 2 antibody (red) and DAPI nuclear stain (blue). HIER: steam section in pH6 citrate buffer for 20 min.
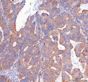
IHC staining of FFPE human breast cancer tissue with Prostaglandin E synthase 2 antibody. HIER: boil tissue sections in pH8 EDTA for 20 min and allow to cool before testing.
IHC staining of FFPE human ovarian cancer tissue with Prostaglandin E synthase 2 antibody. HIER: boil tissue sections in pH8 EDTA for 20 min and allow to cool before testing.
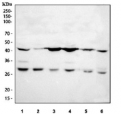
Western blot testing of 1) human HeLa, 2) human HaCaT, 3) human MCF7, 4) human A549, 5) rat brain and 6) mouse brain tissue lysate with Prostaglandin E synthase 2 antibody. Predicted molecular weight: ~42 kDa but can be visualized at 30-35 kDa.
Flow cytometry testing of fixed and permeabilized human MCF7 cells with Prostaglandin E synthase 2 antibody at 1ug/million cells (blocked with goat sera); Red=cells alone, Green=isotype control, Blue= Prostaglandin E synthase 2 antibody.
Availability 1-3 business days
Species Reactivity Human, Mouse, Rat
Format Antigen affinity purified
Clonality Polyclonal (rabbit origin)
Isotype Rabbit IgG
Purity Antigen affinity purified
Buffer Lyophilized from 1X PBS with 2% Trehalose
UniProt Q9H7Z7
Localization Cytoplasmic
Applications Western Blot : 1-2ug/ml
Immunohistochemistry (FFPE) : 2-5ug/ml
Immunofluorescence (FFPE) : 5ug/ml
Flow Cytometry : 1-3ug/million cells
Direct ELISA : 0.1-0.5ug/ml
Limitations This Prostaglandin E synthase 2 antibody is available for research use only.
Review this product on BioCompare and get a $20 Amazon gift card

Related Products

Description

Microsomal prostaglandin E synthase-2 (mPGES-2) or Prostaglandin E synthase 2 is an enzyme that in humans encoded by the PTGES2 gene located on chromosome 9. The protein encoded by this gene is a membrane-associated prostaglandin E synthase, which catalyzes the conversion of prostaglandin H2 to prostaglandin E2. This protein also has been shown to activate the transcription regulated by a gamma-interferon-activated transcription element (GATE). Multiple transcript variants have been found for this gene.

Application Notes

Optimal dilution of the Prostaglandin E synthase 2 antibody should be determined by the researcher.

Immunogen

Recombinant human protein (amino acids L100-I370) was used as the immunogen for the Prostaglandin E synthase 2 antibody.

Storage

After reconstitution, the Prostaglandin E synthase 2 antibody can be stored for up to one month at 4oC. For long-term, aliquot and store at -20oC. Avoid repeated freezing and thawing.

Cross
Bulk Quote Request Form
Name*:
Organization*:
Email*:
Phone Number*:
Catalog No.*:
Comments and Specifics(amount, formulation, etc.)*:
Validation code: Captchapackage Image


Can't read the image? click here to refresh.
    *required field

Your bulk quote request has been submitted successfully!

Please contact us if you have any questions.