• Tel: 858.663.9055
  • SeparatorEmail: info@nsjbio.com
  • Tel: 858.663.9055
  • Email: info@nsjbio.com
Home >> Antibodies >> Proprotein Convertase 1/3 Antibody

Proprotein Convertase 1/3 Antibody (R31196)

  Catalog No Formulation Size Price (USD)  
Image R31196 0.5mg/ml if reconstituted with 0.2ml sterile DI water 100 ug 439
Bulk quote request
Western blot testing of Proprotein Convertase 1/3 antibody; Lane 1: rat liver; 2: (r) thymus; and human samples 3: A549; 4: HeLa; 5: COLO320; 6: PANC cell lysate
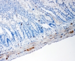
IHC staining of FFPE rat intestine tissue with Proprotein Convertase 1/3 antibody. HIER: boil tissue sections in pH6, 10mM citrate buffer, for 10-20 min and allow to cool before testing.
Immunofluorescent staining of FFPE human colon cancer with Proprotein Convertase 1/3 antibody (green) and DAPI nuclear counterstain (blue). HIER: boil tissue sections in pH6, 10mM citrate buffer, for 10-20 min and allow to cool before testing.
Availability 1-3 business days
Species Reactivity Human, Mouse, Rat
Format Antigen affinity purified
Clonality Polyclonal (rabbit origin)
Isotype Rabbit IgG
Purity Antigen affinity
Buffer Lyophilized from 1X PBS with 2.5% BSA and 0.025% sodium azide/thimerosal
UniProt P29120
Applications Western Blot : 0.5-1ug/ml
Immunohistochemistry (FFPE) : 0.5-1ug/ml
Immunofluorescence (FFPE) : 1-2ug/ml
Limitations This Proprotein Convertase 1/3 antibody is available for research use only.
Review this product on BioCompare and get a $20 Amazon gift card

Description

Proprotein Convertase, Subtilisin/Kexin-Type, 1, also known as PC1 or NEC1, is an enzyme that in humans is encoded by the PCSK1 gene. It is a neuroendocrine convertase that belongs to a family of subtilisin-like serine endoproteases that process large precursor proteins into mature bioactive products. By in situ hybridization, Seidah et al.(1991) mapped the gene to human chromosome 5q15-q21 and mouse chromosome 13. Ohagi et al.(1996) noted that PCSK1 initiates the sequential processing of proinsulin to insulin by cleaving the proinsulin molecule on the C-terminal side of the dibasic peptide, arg31-arg32, joining the B-chain and C-peptide. By observing the phenotypic features in patients with PCSK1 mutations, Jackson et al.(2003) concluded that human intestinal absorptive function is dependent on the enzymes activity.

Application Notes

The stated application concentrations are suggested starting amounts. Titration of the Proprotein Convertase 1/3 antibody may be required due to differences in protocols and secondary/substrate sensitivity.

Immunogen

An amino acid sequence from the C-terminus of human Proprotein Convertase 1/3 (DVFYNTKPYKHRDDR) was used as the immunogen for this Proprotein Convertase 1/3 antibody (100% homologous in human, mouse and rat).

Storage

After reconstitution, the Proprotein Convertase 1/3 antibody can be stored for up to one month at 4oC. For long-term, aliquot and store at -20oC. Avoid repeated freezing and thawing.

Cross
Bulk Quote Request Form
Name*:
Organization*:
Email*:
Phone Number*:
Catalog No.*:
Comments and Specifics(amount, formulation, etc.)*:
Validation code: Captchapackage Image


Can't read the image? click here to refresh.
    *required field

Your bulk quote request has been submitted successfully!

Please contact us if you have any questions.