• Tel: 858.663.9055
  • SeparatorEmail: info@nsjbio.com
  • Tel: 858.663.9055
  • Email: info@nsjbio.com
Home >> Antibodies >> Prolactin Receptor Antibody

Prolactin Receptor Antibody (R31199)

  Catalog No Formulation Size Price (USD)  
Image R31199 0.5mg/ml if reconstituted with 0.2ml sterile DI water 100 ug 439
Bulk quote request
Western blot testing of Prolactin Receptor antibody and Lane 1: human HeLa; 2: human MCF-7 cell lysate. Expected molecular weight: 70-117 kDa depending on glycosylation level.
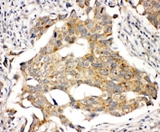
IHC-P: Prolactin Receptor antibody testing of human breast cancer tissue. HIER: steamed with pH6 citrate buffer.
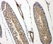
IHC-P: Prolactin Receptor antibody testing of rat testis tissue. HIER: steamed with pH6 citrate buffer.
Western blot testing of rat PC-12 cell lysate with Prolactin Receptor antibody. Expected molecular weight: 70-117 kDa depending on glcosylation level.
Availability 1-3 business days
Species Reactivity Human, Mouse, Rat
Format Antigen affinity purified
Clonality Polyclonal (rabbit origin)
Isotype Rabbit IgG
Purity Antigen affinity
Buffer Lyophilized from 1X PBS with 2.5% BSA and 0.025% sodium azide/thimerosal
UniProt Q08501
Applications Western Blot : 0.5-1ug/ml
IHC (FFPE) : 0.5-1ug/ml
Limitations This Prolactin Receptor antibody is available for research use only.
Review this product on BioCompare and get a $20 Amazon gift card

Related Products

Description

PRLR (Prolactin Receptor) is a cytokine receptor. By somatic cell hybrid analysis and by in situ hybridization, Arden et al. (1989, 1990) demonstrated that the gene resides in the same chromosomal region as the growth hormone receptor (GHR) gene, which has been mapped to 5p13-p12. Cunningham et al. (1990) demonstrated that zinc greatly increases the affinity of GH for the extracellular binding domain of PRLR, although it is not required for binding of GH to GHR or for binding of prolactin to the prolactin receptor. By mutational analysis, they showed that a cluster of 3 residues(histidine-18, histidine-21, and glutamic acid-174) in GH and histidine-188 in PRLR (conserved in all PRLRs but not GHRs) are likely zinc-ion ligands.

Application Notes

The stated application concentrations are suggested starting amounts. Titration of the Prolactin Receptor antibody may be required due to differences in protocols and secondary/substrate sensitivity.

Immunogen

An amino acid sequence from the C-terminus of mouse Prolactin Receptor (QLGRLDYLDPTCFMH) was used as the immunogen for this Prolactin Receptor antibody (100% rat homology).

Storage

After reconstitution, the Prolactin Receptor antibody can be stored for up to one month at 4oC. For long-term, aliquot and store at -20oC. Avoid repeated freezing and thawing.

Cross
Bulk Quote Request Form
Name*:
Organization*:
Email*:
Phone Number*:
Catalog No.*:
Comments and Specifics(amount, formulation, etc.)*:
Validation code: Captchapackage Image


Can't read the image? click here to refresh.
    *required field

Your bulk quote request has been submitted successfully!

Please contact us if you have any questions.