• Tel: 858.663.9055
  • SeparatorEmail: info@nsjbio.com
  • Tel: 858.663.9055
  • Email: info@nsjbio.com
Home >> Antibodies >> Prohibitin Antibody / PHB

Prohibitin Antibody / PHB [clone PHB/3226] (V7614)

  Catalog No Formulation Size Price (USD)  
Image V7614-100UG 0.2 mg/ml in 1X PBS with 0.1 mg/ml BSA (US sourced) and 0.05% sodium azide 100 ug 539
Image
V7614-20UG 0.2 mg/ml in 1X PBS with 0.1 mg/ml BSA (US sourced) and 0.05% sodium azide 20 ug 249
Image
V7614SAF-100UG 1 mg/ml in 1X PBS; BSA free, sodium azide free 100 ug 539
Image
V7614IHC-7ML Prediluted in 1X PBS with 0.1 mg/ml BSA (US sourced) and 0.05% sodium azide; *For IHC use only* 7 ml 539
Microvalidated
Bulk quote request
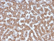
IHC testing of FFPE human liver tissue with Prohibitin antibody (clone PHB/3226). Required HIER: boil tissue sections in pH6, 10mM citrate buffer, for 10-20 min followed by cooling at RT for 20 min.
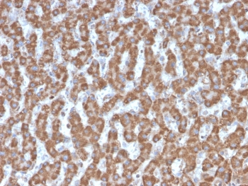
IHC testing of FFPE human liver tissue with Prohibitin antibody (clone PHB/3226). Required HIER: boil tissue sections in pH6, 10mM citrate buffer, for 10-20 min followed by cooling at RT for 20 min.
Analysis of HuProt(TM) microarray containing more than 19,000 full-length human proteins using Prohibitin antibody (clone PHB/3226). These results demonstrate the foremost specificity of the PHB/3226 mAb.
Z- and S- score: The Z-score represents the strength of a signal that an antibody (in combination with a fluorescently-tagged anti-IgG secondary Ab) produces when binding to a particular protein on the HuProt(TM) array. Z-scores are described in units of standard deviations (SD's) above the mean value of all signals generated on that array. If the targets on the HuProt(TM) are arranged in descending order of the Z-score, the S-score is the difference (also in units of SD's) between the Z-scores. The S-score therefore represents the relative target specificity of an Ab to its intended target.
SDS-PAGE analysis of purified, BSA-free Prohibitin antibody (clone PHB/3226) as confirmation of integrity and purity.
Western blot testing of human liver lysate with Prohibitin antibody (clone PHB/3226). Expected molecular weight ~30 kDa.
Western blot testing of human liver and human Ramos cell lysate with Prohibitin antibody (clone PHB/3226). Expected molecular weight ~30 kDa.
Availability 1-3 business days
Species Reactivity Human
Format Purified
Clonality Monoclonal (mouse origin)
Isotype Mouse IgG2b, kappa
Clone Name PHB/3226
Purity Protein G affinity chromatography
UniProt P35232
Localization Cytoplasmic
Applications Western Blot : 1-2ug/ml
Immunohistochemistry (FFPE) : 1-2ug/ml for 30 min at RT
Limitations This Prohibitin antibody is available for research use only.
Review this product on BioCompare and get a $20 Amazon gift card

Related Products

Description

This antibody recognizes a protein of 30kDa which is identified as Prohibitin (PHB), an evolutionarily conserved protein with homologues found in yeast to man. It is located in the inner membrane of mitochondria. Although PHB mRNA and protein expression occurs throughout the cell cycle, maximum levels are detected during the G1/S phase transition and minimum levels are seen in S phase and the G2/mitosis boundary. Prohibitin is located exclusively in the mitochondria with the highest concentration on the inner membrane. It is an ideal mitochondrial marker. It shows anti-proliferative activity and has been proposed to play a role in normal cell cycle regulation, replicative senescence, cellular immortalization, and tumor suppression.

Application Notes

Optimal dilution of the Prohibitin antibody should be determined by the researcher.

1. The prediluted format is supplied in a dropper bottle and is optimized for use in IHC. After epitope retrieval step (if required), drip mAb solution onto the tissue section and incubate at RT for 30 min.

Immunogen

A recombinant human partial protein corresponding to amino acids 167-261 was used as the immunogen for the Prohibitin antibody.

Storage

Store the Prohibitin antibody at 2-8oC (with azide) or aliquot and store at -20oC or colder (without azide).

Cross
Bulk Quote Request Form
Name*:
Organization*:
Email*:
Phone Number*:
Catalog No.*:
Comments and Specifics(amount, formulation, etc.)*:
Validation code: Captchapackage Image


Can't read the image? click here to refresh.
    *required field

Your bulk quote request has been submitted successfully!

Please contact us if you have any questions.