• Tel: 858.663.9055
  • SeparatorEmail: info@nsjbio.com
  • Tel: 858.663.9055
  • Email: info@nsjbio.com
Home >> Antibodies >> Prohibitin 2 Antibody

Prohibitin 2 Antibody (R31054)

  Catalog No Formulation Size Price (USD)  
Image R31054 0.5mg/ml if reconstituted with 0.2ml sterile DI water 100 ug 439
Bulk quote request
Western blot testing of Prohibitin 2 antibody and Lane 1: human PANC; 2: (h) COLO320; 3: (h) U87; 4: mouse HEPA lysate. Predicted/observed molecular weight: ~33kDa.
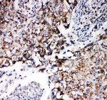
IHC-P: Prohibitin 2 antibody testing of human lung cancer tissue. HIER: steamed with pH6 citrate buffer.
ICC testing of Prohibitin 2 antibody and A549 cells
Availability 1-3 business days
Species Reactivity Human, Mouse, Rat
Format Antigen affinity purified
Clonality Polyclonal (rabbit origin)
Isotype Rabbit IgG
Purity Antigen affinity
Buffer Lyophilized from 1X PBS with 2.5% BSA and 0.025% sodium azide/thimerosal
UniProt Q99623
Applications Western Blot : 0.5-1ug/ml
IHC (FFPE) : 0.5-1ug/ml
Immunocytochemistry : 0.5-1ug/ml
Limitations This Prohibitin 2 antibody is available for research use only.
Review this product on BioCompare and get a $20 Amazon gift card

Related Products

Description

Prohibitin 2, also called Repressor of Estrogen Receptor Activity (REA), is a protein that in humans is encoded by the PHB2 gene. The International Radiation Hybrid Mapping Consortium mapped the gene to chromosome 12. Montano et al. (1999) showed that REA enhanced the potency of a dominant-negative ER-alpha mutant and antiestrogens as suppressors of ER-alpha activity in Chinese hamster ovary cells. When coexpressed with wildtype ER-alpha or ER-beta (ESR2), PHB2 suppressed activation of a reporter gene in a dose-dependent manner. It had no effect on reporter activity in the absence of liganded ER, and it had no effect on the transcriptional activities of other hormone receptors. Mutation analysis showed that an N-terminal domain and a central domain of PHB2 were required for its repressor activity.

Application Notes

The stated application concentrations are suggested starting amounts. Titration of the Prohibitin 2 antibody may be required due to differences in protocols and secondary/substrate sensitivity.

Immunogen

An amino acid sequence from the middle region of human REA/PHB2 (RPNAQELPSMYQRLGLDY) was used as the immunogen for this Prohibitin 2 antibody (100% homologous in human, mouse and rat).

Storage

After reconstitution, the Prohibitin 2 antibody can be stored for up to one month at 4oC. For long-term, aliquot and store at -20oC. Avoid repeated freezing and thawing.

Cross
Bulk Quote Request Form
Name*:
Organization*:
Email*:
Phone Number*:
Catalog No.*:
Comments and Specifics(amount, formulation, etc.)*:
Validation code: Captchapackage Image


Can't read the image? click here to refresh.
    *required field

Your bulk quote request has been submitted successfully!

Please contact us if you have any questions.