• Tel: 858.663.9055
  • SeparatorEmail: info@nsjbio.com
  • Tel: 858.663.9055
  • Email: info@nsjbio.com
Home >> Antibodies >> Prohibitin 2 Antibody / PHB2

Prohibitin 2 Antibody / PHB2 (F54917)

  Catalog No Formulation Size Price (USD)  
Image F54917-0.4ML In 1X PBS, pH 7.4, with 0.09% sodium azide 0.4 ml 429
Image
F54917-0.08ML In 1X PBS, pH 7.4, with 0.09% sodium azide 0.08 ml 199
Bulk quote request
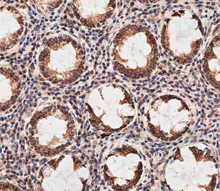
IHC testing of FFPE human colon tissue with Prohibitin 2 antibody. HIER: steam section in pH9 EDTA buffer for 20 min and allow to cool prior to staining.
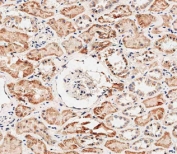
IHC testing of FFPE human kidney tissue with Prohibitin 2 antibody. HIER: steam section in pH9 EDTA buffer for 20 min and allow to cool prior to staining.
IHC testing of FFPE human brain tissue with Prohibitin 2 antibody. HIER: steam section in pH9 EDTA buffer for 20 min and allow to cool prior to staining.
Western blot testing of 1) human Raji, 2) human HEK293, 3) human HeLa, 4) human MDA-MB-453, 5) mouse NIH 3T3, 6) mouse brain and 7) rat C6 cell lysate with Prohibitin 2 antibody. Predicted molecular weight ~33 kDa.
Availability 1-3 business days
Species Reactivity Human, Mouse, Rat
Format Purified
Clonality Polyclonal (rabbit origin)
Isotype Rabbit Ig
Purity Antigen affinity purified
UniProt Q99623
Localization Cytoplasmic, nuclear
Applications Immunohistochemistry (FFPE) : 1:50-1:100
Western Blot : 1:500-1:1000
Limitations This Prohibitin 2 antibody is available for research use only.
Review this product on BioCompare and get a $20 Amazon gift card

Related Products

Description

PHB2 acts as a mediator of transcriptional repression by nuclear hormone receptors via recruitment of histone deacetylases. It functions as an estrogen receptor (ER)-selective coregulator that potentiates the inhibitory activities of antiestrogens and represses the activity of estrogens. It competes with NCOA1 for modulation of ER transcriptional activity and is probably involved in regulating mitochondrial respiration activity and in aging.

Application Notes

The stated application concentrations are suggested starting points. Titration of the Prohibitin 2 antibody may be required due to differences in protocols and secondary/substrate sensitivity.

Immunogen

A portion of amino acids 225-255 from the human protein was used as the immunogen for the Prohibitin 2 antibody.

Storage

Aliquot the Prohibitin 2 antibody and store frozen at -20oC or colder. Avoid repeated freeze-thaw cycles.

Cross
Bulk Quote Request Form
Name*:
Organization*:
Email*:
Phone Number*:
Catalog No.*:
Comments and Specifics(amount, formulation, etc.)*:
Validation code: Captchapackage Image


Can't read the image? click here to refresh.
    *required field

Your bulk quote request has been submitted successfully!

Please contact us if you have any questions.