• Tel: 858.663.9055
  • SeparatorEmail: info@nsjbio.com
  • Tel: 858.663.9055
  • Email: info@nsjbio.com
Home >> Antibodies >> Prohibitin 2 Antibody / PHB2

Prohibitin 2 Antibody / PHB2 [clone 2B5] (RQ6364)

  Catalog No Formulation Size Price (USD)  
Image RQ6364 0.5mg/ml if reconstituted with 0.2ml sterile DI water 100 ug 439
Bulk quote request
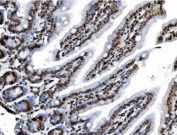
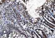
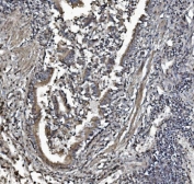
IHC staining of FFPE human renal clear cell carcinoma tissue with Prohibitin 2 antibody. HIER: boil tissue sections in pH8 EDTA for 20 min and allow to cool before testing.
IHC staining of FFPE human lung tissue with Prohibitin 2 antibody. HIER: boil tissue sections in pH8 EDTA for 20 min and allow to cool before testing.
IHC staining of FFPE human gallbladder adenocarcinoma tissue with Prohibitin 2 antibody. HIER: boil tissue sections in pH8 EDTA for 20 min and allow to cool before testing.
IHC staining of FFPE human ovarian serous adenocarcinoma tissue with Prohibitin 2 antibody. HIER: boil tissue sections in pH8 EDTA for 20 min and allow to cool before testing.
IHC staining of FFPE mouse colon tissue with Prohibitin 2 antibody. HIER: boil tissue sections in pH8 EDTA for 20 min and allow to cool before testing.
IHC staining of FFPE rat colon tissue with Prohibitin 2 antibody. HIER: boil tissue sections in pH8 EDTA for 20 min and allow to cool before testing.
Western blot testing of 1) human HeLa, 2) human HEK293, 3) rat brain, 4) rat heart, 5) rat liver, 6) mouse brain, 7) mouse heart and 8) mouse liver lysate with Prohibitin 2 antibody. Predicted molecular weight ~33 kDa.
Flow cytometry testing of human HepG2 cells with Prohibitin 2 antibody at 1ug/million cells (blocked with goat sera); Red=cells alone, Green=isotype control, Blue= Prohibitin 2 antibody.
Availability 1-3 business days
Species Reactivity Human, Mouse, Rat
Format Purified
Clonality Monoclonal (mouse origin)
Isotype Mouse IgG2b
Clone Name 2B5
Purity Antigen affinity purified
Buffer Lyophilized from 1X PBS with 2% Trehalose
UniProt Q99623
Localization Cytoplasmic, nuclear
Applications Western Blot : 0.5-1ug/ml
Immunohistochemistry (FFPE) : 2-5ug/ml
Flow Cytometry : 1-3ug/million cells
Limitations This Prohibitin 2 antibody is available for research use only.
Review this product on BioCompare and get a $20 Amazon gift card

Related Products

  • Applications : WB, IHC-P, ICC
    Reactivity : Human, Mouse, Rat
  • Applications : WB, IHC-P, IF, FACS, Direct ELISA
    Reactivity : Human, Mouse, Rat
  • Applications : IHC-P, WB
    Reactivity : Human, Mouse, Rat

Description

PHB2 (Prohibitin 2), also called Repressor of Estrogen Receptor Activity (REA), is a protein that in humans is encoded by the PHB2 gene. The International Radiation Hybrid Mapping Consortium mapped the PHB2 gene to chromosome 12. Montano et al.(1999) showed that REA enhanced the potency of a dominant-negative ER-alpha mutant and antiestrogens as suppressors of ER-alpha activity in Chinese hamster ovary cells. When coexpressed with wildtype ER-alpha or ER-beta(ESR2), REA suppressed activation of a reporter gene in a dose-dependent manner. REA had no effect on reporter activity in the absence of liganded ER, and it had no effect on the transcriptional activities of other hormone receptors. Mutation analysis showed that an N-terminal domain and a central domain of REA were required for its repressor activity.

Application Notes

Optimal dilution of the Prohibitin 2 antibody should be determined by the researcher.

Immunogen

Recombinant human protein (amino acids M1-K299) was used as the immunogen for the Prohibitin 2 antibody.

Storage

After reconstitution, the Prohibitin 2 antibody can be stored for up to one month at 4oC. For long-term, aliquot and store at -20oC. Avoid repeated freezing and thawing.

Cross
Bulk Quote Request Form
Name*:
Organization*:
Email*:
Phone Number*:
Catalog No.*:
Comments and Specifics(amount, formulation, etc.)*:
Validation code: Captchapackage Image


Can't read the image? click here to refresh.
    *required field

Your bulk quote request has been submitted successfully!

Please contact us if you have any questions.