• Tel: 858.663.9055
  • SeparatorEmail: info@nsjbio.com
  • Tel: 858.663.9055
  • Email: info@nsjbio.com
Home >> Antibodies >> PRMT7 Antibody / Protein arginine N-methyltransferase 7

PRMT7 Antibody / Protein arginine N-methyltransferase 7 (RQ8217)

  Catalog No Formulation Size Price (USD)  
Image RQ8217 0.5mg/ml if reconstituted with 0.2ml sterile DI water 100 ug 439
Bulk quote request
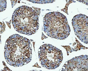
IHC staining of FFPE mouse testis tissue with PRMT7 antibody. HIER: boil tissue sections in pH8 EDTA for 20 min and allow to cool before testing.
IHC staining of FFPE rat testis tissue with PRMT7 antibody. HIER: boil tissue sections in pH8 EDTA for 20 min and allow to cool before testing.
IHC staining of FFPE human ovarian cancer tissue with PRMT7 antibody. HIER: boil tissue sections in pH8 EDTA for 20 min and allow to cool before testing.
Western blot testing of 1) human HeLa cell lysate with PRMT7 antibody. Predicted molecular weight: 62-78 kDa (multiple isoforms).
Flow cytometry testing of fixed and permeabilized human HepG2 cells with PRMT7 antibody at 1ug/million cells (blocked with goat sera); Red=cells alone, Green=isotype control, Blue= PRMT7 antibody.
Immunofluorescent staining of FFPE human Caco-2 cells with PRMT7 antibody (green) and Alpha Tubulin mAb (red). HIER: steam section in pH6 citrate buffer for 20 min.
Availability 1-3 business days
Species Reactivity Human, Mouse, Rat
Format Antigen affinity purified
Clonality Polyclonal (rabbit origin)
Isotype Rabbit IgG
Purity Antigen affinity purified
Buffer Lyophilized from 1X PBS with 2% Trehalose
UniProt Q9NVM4
Localization Nuclear, cytoplasmic
Applications Western Blot : 0.5-1ug/ml
Immunohistochemistry (FFPE) : 2-5ug/ml
Flow Cytometry : 1-3ug/million cells
Direct ELISA : 0.1-0.5ug/ml
Immunofluorescence : 5ug/ml
Limitations This PRMT7 antibody is available for research use only.
Review this product on BioCompare and get a $20 Amazon gift card

Related Products

  • Applications : FACS, IF
    Reactivity : Human
    Microvalidated
  • Applications : FACS, IF
    Reactivity : Human
    Microvalidated
  • Applications : WB, IHC, ELISA
    Reactivity : Human
  • Applications : WB, IHC, ELISA
    Reactivity : Human
  • Applications : WB, ELISA (peptide)
    Reactivity : Human, Mouse
    Pred. Reactivity : Dog, Rat

Description

Protein arginine methyltransferase 7 is a protein that in humans is encoded by the PRMT7 gene. This gene encodes a member of the protein arginine N-methyltransferase family of proteins. The encoded enzyme transfers single methyl groups to arginine residues to generate monomethylarginines on histone proteins as well as other protein substrates. This enzyme plays a role in a wide range of biological processes, including neuronal differentiation, male germ line imprinting, small nuclear ribonucleoprotein biogenesis, and regulation of the Wnt signaling pathway. Mutations in this gene underlie multiple related syndromes in human patients characterized by intellectual disability, short stature and other features. The encoded protein may promote breast cancer cell invasion and metastasis in human patients.

Application Notes

Optimal dilution of the PRMT7 antibody should be determined by the researcher.

Immunogen

E. coli-derived recombinant human protein (amino acids K121-D526) was used as the immunogen for the PRMT7 antibody.

Storage

After reconstitution, the PRMT7 antibody can be stored for up to one month at 4oC. For long-term, aliquot and store at -20oC. Avoid repeated freezing and thawing.

Cross
Bulk Quote Request Form
Name*:
Organization*:
Email*:
Phone Number*:
Catalog No.*:
Comments and Specifics(amount, formulation, etc.)*:
Validation code: Captchapackage Image


Can't read the image? click here to refresh.
    *required field

Your bulk quote request has been submitted successfully!

Please contact us if you have any questions.