• Tel: 858.663.9055
  • SeparatorEmail: info@nsjbio.com
  • Tel: 858.663.9055
  • Email: info@nsjbio.com
Home >> Antibodies >> PRMT5 Antibody

PRMT5 Antibody (F40463)

  Catalog No Formulation Size Price (USD)  
Image F40463-0.4ML In 1X PBS, pH 7.4, with 0.09% sodium azide 0.4 ml 429
Image
F40463-0.08ML In 1X PBS, pH 7.4, with 0.09% sodium azide 0.08 ml 199
Bulk quote request
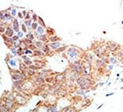
IHC analysis of FFPE human breast carcinoma tissue stained with the PRMT5 antibody
PRMT5 antibody used in western blot to detect PRMT5 in HL-60 cell lysate. Expected molecular weight ~72kDa.
Availability 1-3 business days
Species Reactivity Human
Predicted Reactivity Mouse, Bovine, Primate
Format Purified
Clonality Polyclonal (rabbit origin)
Isotype Rabbit Ig
Purity Purified
UniProt O14744
Applications Western Blot : 1:1000
IHC (Paraffin) : 1:50-1:100
Limitations This PRMT5 antibody is available for research use only.
Review this product on BioCompare and get a $20 Amazon gift card

Related Products

  • Applications : IHC-P, WB
    Reactivity : Human
    Rab Mono Image
  • Applications : WB, ELISA
    Reactivity : Human
    Pred. Reactivity : Mouse, Bovine, Primate, Xenopus
  • Applications : WB, IHC, ELISA
    Reactivity : Human
    Pred. Reactivity : Bovine, Primate
  • Applications : IF, FACS, ELISA (peptide)
    Reactivity : Human
  • Applications : WB, FACS, Direct ELISA
    Reactivity : Human, Mouse, Rat
  • Applications : WB, IHC-P, Direct ELISA
    Reactivity : Human, Mouse, Rat

Description

Arginine methylation is an irreversible post translational modification which has only recently been linked to protein activity. At least three types of PRMT enzymes have been identified in mammalian cells. These enzymes have been shown to have essential regulatory functions by methylation of key proteins in several fundamental areas. These protein include nuclear proteins, IL enhancer binding factor, nuclear factors, cell cycle proteins, signal transduction proteins, apoptosis proteins, and viral proteins. The mammalian PRMT family currently consists of 7 members that share two large domains of homology. Outside of these domains, epitopes were identified and antibodies against all 7 PRMT members have been developed.

Application Notes

Titration of the PRMT5 antibody may be required due to differences in protocols and secondary/substrate sensitivity.

Immunogen

A portion of amino acids 591-621 from the human protein was used as the immunogen for this PRMT5 antibody.

Storage

Aliquot the PRMT5 antibody and store frozen at -20oC or colder. Avoid repeated freeze-thaw cycles.

Cross
Bulk Quote Request Form
Name*:
Organization*:
Email*:
Phone Number*:
Catalog No.*:
Comments and Specifics(amount, formulation, etc.)*:
Validation code: Captchapackage Image


Can't read the image? click here to refresh.
    *required field

Your bulk quote request has been submitted successfully!

Please contact us if you have any questions.