• Tel: 858.663.9055
  • SeparatorEmail: info@nsjbio.com
  • Tel: 858.663.9055
  • Email: info@nsjbio.com
Home >> Antibodies >> PRL Antibody / Prolactin

PRL Antibody / Prolactin [clone rPRL/4907] (V9356)

  Catalog No Formulation Size Price (USD)  
Image V9356-100UG 0.2 mg/ml in 1X PBS with 0.1 mg/ml BSA (US sourced), 0.05% sodium azide 100 ug 539
Image
V9356-20UG 0.2 mg/ml in 1X PBS with 0.1 mg/ml BSA (US sourced), 0.05% sodium azide 20 ug 249
Image
V9356SAF-100UG 1 mg/ml in 1X PBS; BSA free, sodium azide free 100 ug 539
Microvalidated Recmousemono
Bulk quote request
Analysis of HuProt(TM) microarray containing more than 19,000 full-length human proteins using PRL antibody (clone rPRL/4907). These results demonstrate the foremost specificity of the rPRL/4907 mAb. Z- and S- score: The Z-score represents the strength of a signal that an antibody (in combination with a fluorescently-tagged anti-IgG secondary Ab) produces when binding to a particular protein on the HuProt(TM) array. Z-scores are described in units of standard deviations (SD's) above the mean value of all signals generated on that array. If the targets on the HuProt(TM) are arranged in descending order of the Z-score, the S-score is the difference (also in units of SD's) between the Z-scores. The S-score therefore represents the relative target specificity of an Ab to its intended target.
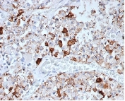
IHC staining of FFPE human pituitary tissue with Prolactin antibody (clone rPRL/4907). HIER: boil tissue sections in pH 9 10mM Tris with 1mM EDTA for 20 min and allow to cool before testing.
Negative control: IHC staining of FFPE human brain tissue using PRL antibody (clone rPRL/4907) at 2ug/ml in PBS for 30min RT. HIER: boil tissue sections in pH 9 10mM Tris with 1mM EDTA for 20 min and allow to cool before testing.
SDS-PAGE analysis of purified, BSA-free PRL antibody (rPRL/4907) as confirmation of integrity and purity.
Availability 1-3 business days
Species Reactivity Human
Format Purified
Clonality Recombinant Mouse Monoclonal
Isotype Mouse IgG1, kappa
Clone Name rPRL/4907
Purity Protein A/G affinity
UniProt P01236
Localization Secreted
Applications Immunohistochemistry (FFPE) : 1-2ug/ml
Limitations This PRL antibody is available for research use only.
Review this product on BioCompare and get a $20 Amazon gift card

Related Products

Description

PRL antibody detects prolactin, a peptide hormone encoded by the PRL gene. Prolactin is secreted by the anterior pituitary and plays diverse roles in lactation, reproduction, metabolism, and immune regulation. Because prolactin is implicated in endocrine signaling and disease states ranging from infertility to cancer, PRL antibody is widely used in endocrinology, oncology, and reproductive biology.

Prolactin is a 23 kDa polypeptide hormone structurally related to growth hormone and placental lactogen. It acts via the prolactin receptor, a member of the cytokine receptor superfamily, activating JAK2/STAT5 signaling pathways. While best known for stimulating mammary gland development and milk production, prolactin also influences immune tolerance, angiogenesis, and osmoregulation. Dysregulation of prolactin signaling contributes to pituitary adenomas, hyperprolactinemia, and hormone-dependent cancers.

The PRL antibody clone rPRL/4907 provides consistent and specific recognition. Recombinant production ensures lot-to-lot uniformity, which is essential for hormonal research. Clone rPRL/4907 has been cited in peer-reviewed studies examining pituitary tumors, reproductive endocrinology, and cytokine signaling. Its applications include immunohistochemistry, immunoblotting, and ELISA-based detection.

Research using clone rPRL/4907 has clarified how prolactin secretion is regulated by dopamine and how aberrant levels contribute to infertility and endocrine disorders. In oncology, PRL detection has supported studies of breast and prostate cancer, where prolactin promotes cell survival and tumor growth. Beyond endocrinology, research has highlighted prolactin’s influence on immune tolerance, linking it to autoimmune disease regulation. This antibody enables precise analysis of prolactin expression across these diverse contexts.

NSJ Bioreagents provides this PRL antibody to support endocrinology, oncology, and reproductive biology research. Alternate designations include prolactin antibody, lactogenic hormone antibody, pituitary hormone antibody, mammary gland development hormone antibody, cytokine receptor ligand antibody, and PRL gene product antibody.

Application Notes

Optimal dilution of the PRL antibody should be determined by the researcher.

Immunogen

A portion of amino acids 63-201 was used as the immunogen for the PRL antibody.

Storage

Aliquot the PRL antibody and store frozen at -20oC or colder. Avoid repeated freeze-thaw cycles.

Cross
Bulk Quote Request Form
Name*:
Organization*:
Email*:
Phone Number*:
Catalog No.*:
Comments and Specifics(amount, formulation, etc.)*:
Validation code: Captchapackage Image


Can't read the image? click here to refresh.
    *required field

Your bulk quote request has been submitted successfully!

Please contact us if you have any questions.