• Tel: 858.663.9055
  • SeparatorEmail: info@nsjbio.com
  • Tel: 858.663.9055
  • Email: info@nsjbio.com
Home >> Antibodies >> PRKCDBP Antibody

PRKCDBP Antibody (R35755)

  Catalog No Formulation Size Price (USD)  
Image R35755-100UG 0.5 mg/ml in 1X TBS, pH7.3, with 0.5% BSA (US sourced) and 0.02% sodium azide 100 ug 449
Bulk quote request
Western blot testing of human adipose cell llysate with PRKCDBP antibody at 0.1ug/ml. Predicted molecular weight: ~28kDa, routinely observed at 35-40kDa.
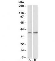
Western blot testing of mouse ovary (A) and rat uterus (B) lysate with PRKCDBP antibody at 0.3ug/ml. Predicted molecular weight: ~28kDa, routinely observed at 35-40kDa.
Availability 1-3 business days
Species Reactivity Human, Mouse
Predicted Reactivity Cow, Dog, Rat
Format Antigen affinity purified
Clonality Polyclonal (goat origin)
Isotype Goat Ig
Purity Antigen affinity
Gene ID 112464
Applications Western Blot : 0.1-0.3ug/ml
ELISA (peptide) LOD : 1:32000
Limitations This PRKCDBP antibody is available for research use only.
Review this product on BioCompare and get a $20 Amazon gift card

Description

Additional name(s) for this target protein: Protein kinase C delta binding protein

Application Notes

Optimal dilution of the PRKCDBP antibody should be determined by the researcher.

Immunogen

Amino acids RRTGLQKVQSLR were used as the immunogen for this PRKCDBP antibody.

Storage

Aliquot and store the PRKCDBP antibody at -20oC.

Cross
Bulk Quote Request Form
Name*:
Organization*:
Email*:
Phone Number*:
Catalog No.*:
Comments and Specifics(amount, formulation, etc.)*:
Validation code: Captchapackage Image


Can't read the image? click here to refresh.
    *required field

Your bulk quote request has been submitted successfully!

Please contact us if you have any questions.