• Tel: 858.663.9055
  • SeparatorEmail: info@nsjbio.com
  • Tel: 858.663.9055
  • Email: info@nsjbio.com
Home >> Antibodies >> PRKAB2 Antibody / AMPK beta 2

PRKAB2 Antibody / AMPK beta 2 [clone 6G1] (RQ4500)

  Catalog No Formulation Size Price (USD)  
Image RQ4500 0.5mg/ml if reconstituted with 0.2ml sterile DI water 100 ug 439
Bulk quote request
Flow cytometry testing of human PC-3 cells with PRKAB2 antibody at 1ug/10^6 cells (blocked with goat sera); Red=cells alone, Green=isotype control, Blue= PRKAB2 antibody.
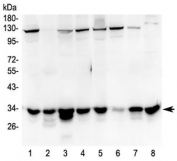
Western blot testing of human 1) HeLa, 2) placenta, 3) 293T, 4) A549, 5) A375, 6) A431, 7) U-2 OS and 8) K562 lysate with PRKAB2 antibody at 0.5ug/ml. Predicted molecular weight ~30 kDa.
Availability 1-3 business days
Species Reactivity Human
Format Purified
Clonality Monoclonal (mouse origin)
Isotype Mouse IgG2b
Clone Name 6G1
Purity Protein G affinity
Buffer Lyophilized from 1X PBS with 2% Trehalose and 0.025% sodium azide
UniProt O43741
Applications Western Blot : 0.5-1ug/ml
Flow Cytometry : 1-3ug/10^6 cells
Limitations This PRKAB2 antibody is available for research use only.
Review this product on BioCompare and get a $20 Amazon gift card

Related Products

Description

5'-AMP-activated protein kinase subunit beta-2 is an enzyme that in humans is encoded by the PRKAB2 gene. The protein encoded by this gene is a regulatory subunit of the AMP-activated protein kinase (AMPK). AMPK is a heterotrimer consisting of an alpha catalytic subunit, and non-catalytic beta and gamma subunits. It is an important energy-sensing enzyme that monitors cellular energy status. In response to cellular metabolic stresses, AMPK is activated, and thus phosphorylates and inactivates acetyl-CoA carboxylase (ACC) and beta-hydroxy beta-methylglutaryl-CoA reductase (HMGCR), key enzymes involved in regulating de novo biosynthesis of fatty acid and cholesterol. This subunit may be a positive regulator of AMPK activity. It is highly expressed in skeletal muscle and thus may have tissue-specific roles. Multiple alternatively spliced transcript variants have been found for this gene.

Application Notes

Optimal dilution of the PRKAB2 antibody should be determined by the researcher.

Immunogen

Amino acids DKEFVSWQQDLEDSVKPTQQARPTVIRWSEGGKE were used as the immunogen for the PRKAB2 antibody.

Storage

After reconstitution, the PRKAB2 antibody can be stored for up to one month at 4oC. For long-term, aliquot and store at -20oC. Avoid repeated freezing and thawing.

Cross
Bulk Quote Request Form
Name*:
Organization*:
Email*:
Phone Number*:
Catalog No.*:
Comments and Specifics(amount, formulation, etc.)*:
Validation code: Captchapackage Image


Can't read the image? click here to refresh.
    *required field

Your bulk quote request has been submitted successfully!

Please contact us if you have any questions.