• Tel: 858.663.9055
  • SeparatorEmail: info@nsjbio.com
  • Tel: 858.663.9055
  • Email: info@nsjbio.com
Home >> Antibodies >> Presenilin 1 Antibody / PSEN1

Presenilin 1 Antibody / PSEN1 (F54846)

  Catalog No Formulation Size Price (USD)  
Image F54846-0.4ML In 1X PBS, pH 7.4, with 0.09% sodium azide 0.4 ml 429
Image
F54846-0.08ML In 1X PBS, pH 7.4, with 0.09% sodium azide 0.08 ml 199
Bulk quote request
Western blot testing of human 1) HeLa and 2) HL60 cell lysate with Presenilin 1 antibody. Predicted molecular weight ~53 kDa.
Immunofluorescent staining of human MDA-MB-435 cells with Presenilin 1 antibody (green) and DAPI nuclear stain (blue).
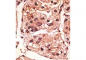
IHC testing of FFPE human cancer tissue with Presenilin 1 antibody. HIER: steam section in pH6 citrate buffer for 20 min and allow to cool prior to staining.
Flow cytometry testing of human HeLa cells with Presenilin 1 antibody; Blue=isotype control, Green= Presenilin 1 antibody.
Availability 1-3 business days
Species Reactivity Human, Mouse
Format Purified
Clonality Polyclonal (rabbit origin)
Isotype Rabbit Ig
Purity Purified
UniProt P49768
Localization Nuclear, cytoplasmic, cell membrane
Applications Immunofluorescence : 1:10-1:50
Immunohistochemistry (FFPE) : 1:50-1:100
Flow Cytometry : 1:10-1:50 (1x10e6 cells)
Western Blot : 1:500-1:1000
Limitations This Presenilin 1 antibody is available for research use only.
Review this product on BioCompare and get a $20 Amazon gift card

Related Products

  • Applications : WB, IHC-P, IHC-F
    Reactivity : Human, Mouse, Rat
  • Applications : WB, IHC-P, IF, FACS
    Reactivity : Human, Mouse, Rat
  • Applications : WB, IF, FACS, Direct ELISA
    Reactivity : Human, Mouse, Rat

Description

Alzheimer's disease (AD) patients with an inherited form of the disease carry mutations in the presenilin proteins (PSEN1; PSEN2) or the amyloid precursor protein (APP). These disease-linked mutations result in increased production of the longer form of amyloid-beta (main component of amyloid deposits found in AD brains). Presenilins are postulated to regulate APP processing through their effects on gamma-secretase, an enzyme that cleaves APP. Also, it is thought that the presenilins are involved in the cleavage of the Notch receptor, such that they either directly regulate gamma-secretase activity or themselves are protease enzymes.

Application Notes

The stated application concentrations are suggested starting points. Titration of the Presenilin 1 antibody may be required due to differences in protocols and secondary/substrate sensitivity.

Immunogen

A portion of amino acids 330-359 from the human protein was used as the immunogen for the Presenilin 1 antibody.

Storage

Aliquot the Presenilin 1 antibody and store frozen at -20oC or colder. Avoid repeated freeze-thaw cycles.

Cross
Bulk Quote Request Form
Name*:
Organization*:
Email*:
Phone Number*:
Catalog No.*:
Comments and Specifics(amount, formulation, etc.)*:
Validation code: Captchapackage Image


Can't read the image? click here to refresh.
    *required field

Your bulk quote request has been submitted successfully!

Please contact us if you have any questions.