• Tel: 858.663.9055
  • SeparatorEmail: info@nsjbio.com
  • Tel: 858.663.9055
  • Email: info@nsjbio.com
Home >> Antibodies >> Prealbumin Antibody / Transthyretin / TTR

Prealbumin Antibody / Transthyretin / TTR [clone CPTC-TTR-1] (V7359)

  Catalog No Formulation Size Price (USD)  
Image V7359-100UG 0.2 mg/ml in 1X PBS with 0.1 mg/ml BSA (US sourced) and 0.05% sodium azide 100 ug 539
Image
V7359-20UG 0.2 mg/ml in 1X PBS with 0.1 mg/ml BSA (US sourced) and 0.05% sodium azide 20 ug 249
Image
V7359SAF-100UG 1 mg/ml in 1X PBS; BSA free, sodium azide free 100 ug 539
Microvalidated
Bulk quote request
Analysis of HuProt(TM) microarray containing more than 19,000 full-length human proteins using Prealbumin antibody. These results demonstrate the foremost specificity of the CPTC-TTR-1 mAb.
Z- and S- score: The Z-score represents the strength of a signal that an antibody (in combination with a fluorescently-tagged anti-IgG secondary Ab) produces when binding to a particular protein on the HuProt(TM) array. Z-scores are described in units of standard deviations (SD's) above the mean value of all signals generated on that array. If the targets on the HuProt(TM) are arranged in descending order of the Z-score, the S-score is the difference (also in units of SD's) between the Z-scores. The S-score therefore represents the relative target specificity of an Ab to its intended target.
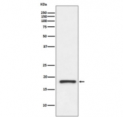
Western blot testing of human liver lysate with Prealbumin antibody (clone CPTC-TTR-1). Predicted molecular weight ~16 kDa.
Western blot testing of human kidney lysate with Prealbumin antibody (clone CPTC-TTR-1). Predicted molecular weight ~16 kDa.
SDS-PAGE analysis of purified, BSA-free Prealbumin antibody (clone CPTC-TTR-1) as confirmation of integrity and purity.
Availability 1-3 business days
Species Reactivity Human
Format Purified
Clonality Monoclonal (mouse origin)
Isotype Mouse IgG2a, kappa
Clone Name CPTC-TTR-1
Purity Protein G affinity chromatography
UniProt P02766
Localization Cytoplasmic, secreted
Applications ELISA : order BSA/sodium azide-free format for coating
Western Blot : 1-2ug/ml
Limitations This Prealbumin antibody is available for research use only.
Review this product on BioCompare and get a $20 Amazon gift card

Related Products

Description

Prealbumin, also designated transthyretin, is a major thyroid-hormone binding protein involved in transporting thyroxine from the bloodstream to the brain. Prealbumin is located in the cytoplasm and in the vesicles of developing rat brain cells, and is thought to be transported there from the cerebrospinal fluid via endocytosis. Sequence variants of this protein have been identified in amyloid fibrils from patients with familial amyloidotic polyneuropathy (FAP), the most common form of hereditary systemic amyloidosis. Although the biologically active form of Prealbumin is a tetramer, the amyloidogenic intermediate is thought to be a monomeric species. Prealbumin also binds to the retinol carrier protein RBP (retinol-binding protein).

Application Notes

Optimal dilution of the Prealbumin antibody should be determined by the researcher.

Immunogen

Recombinant human protein was used as the immunogen for this Prealbumin antibody.

Storage

Store the Prealbumin antibody at 2-8oC (with azide) or aliquot and store at -20oC or colder (without azide).

Cross
Bulk Quote Request Form
Name*:
Organization*:
Email*:
Phone Number*:
Catalog No.*:
Comments and Specifics(amount, formulation, etc.)*:
Validation code: Captchapackage Image


Can't read the image? click here to refresh.
    *required field

Your bulk quote request has been submitted successfully!

Please contact us if you have any questions.