• Tel: 858.663.9055
  • SeparatorEmail: info@nsjbio.com
  • Tel: 858.663.9055
  • Email: info@nsjbio.com
Home >> Antibodies >> PRB2 Antibody / Basic salivary proline-rich protein 2

PRB2 Antibody / Basic salivary proline-rich protein 2 (F54827)

  Catalog No Formulation Size Price (USD)  
Image F54827-0.4ML In 1X PBS, pH 7.4, with 0.09% sodium azide 0.4 ml 429
Image
F54827-0.08ML In 1X PBS, pH 7.4, with 0.09% sodium azide 0.08 ml 199
Bulk quote request
Western blot testing of human MDA-MB-231 cell lysate with PRB2 antibody. Predicted molecular weight ~41 kDa.
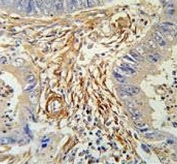
IHC testing of FFPE human colon carcinoma tissue with PRB2 antibody. HIER: steam section in pH6 citrate buffer for 20 min and allow to cool prior to staining.
Flow cytometry testing of human MDA-MB-231 cells with PRB2 antibody; Blue=isotype control, Green= PRB2 antibody.
Availability 1-3 business days
Species Reactivity Human
Format Purified
Clonality Polyclonal (rabbit origin)
Isotype Rabbit Ig
Purity Antigen affinity purified
UniProt P02812
Applications Flow Cytometry : 1:10-1:50 (1x10e6 cells)
Western Blot : 1:500-1:1000
Immunohistochemistry (FFPE) : 1:50-1:100
Limitations This PRB2 antibody is available for research use only.
Review this product on BioCompare and get a $20 Amazon gift card

Application Notes

The stated application concentrations are suggested starting points. Titration of the PRB2 antibody may be required due to differences in protocols and secondary/substrate sensitivity.

Immunogen

A portion of amino acids 388-416 from the human protein was used as the immunogen for the PRB2 antibody.

Storage

Aliquot the PRB2 antibody and store frozen at -20oC or colder. Avoid repeated freeze-thaw cycles.

Cross
Bulk Quote Request Form
Name*:
Organization*:
Email*:
Phone Number*:
Catalog No.*:
Comments and Specifics(amount, formulation, etc.)*:
Validation code: Captchapackage Image


Can't read the image? click here to refresh.
    *required field

Your bulk quote request has been submitted successfully!

Please contact us if you have any questions.