• Tel: 858.663.9055
  • SeparatorEmail: info@nsjbio.com
  • Tel: 858.663.9055
  • Email: info@nsjbio.com
Home >> Antibodies >> PPT1 Antibody

PPT1 Antibody (R32123)

  Catalog No Formulation Size Price (USD)  
Image R32123 0.5mg/ml if reconstituted with 0.2ml sterile DI water 100 ug 439
Bulk quote request
Western blot testing of 1) rat brain, 2) mouse brain, 3) rat liver, 4) mouse liver, 5) human HepG2, 6) human 293T and 7) MCF-7 lysate with PPT1 antibody. Expected/observed molecular weight ~34 kDa.
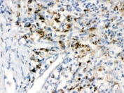
IHC testing of FFPE human intestinal cancer tissue with PPT1 antibody. HIER: Boil the paraffin sections in pH 6, 10mM citrate buffer for 20 minutes and allow to cool prior to staining.
Flow cytometry testing of human SiHa cells with PPT1 antibody at 1ug/10^6 cells (blocked with goat sera); Red=cells alone, Green=isotype control, Blue=PPT1 antibody.
Flow cytometry testing of human U937 cells with PPT1 antibody at 1ug/10^6 cells (blocked with goat sera); Red=cells alone, Green=isotype control, Blue=PPT1 antibody.
Flow cytometry testing of human THP-1 cells with PPT1 antibody at 1ug/10^6 cells (blocked with goat sera); Red=cells alone, Green=isotype control, Blue=PPT1 antibody.
Availability 1-3 business days
Species Reactivity Human, Rat
Format Antigen affinity purified
Clonality Polyclonal (rabbit origin)
Isotype Rabbit IgG
Purity Antigen affinity
Buffer Lyophilized from 1X PBS with 2.5% BSA and 0.025% sodium azide
UniProt P50897
Localization Cytoplasmic
Applications Western Blot : 0.1-0.5ug/ml
IHC (FFPE) : 0.5-1ug/ml
Flow Cytometry : 1-3ug/million cells
Limitations This PPT1 antibody is available for research use only.
Review this product on BioCompare and get a $20 Amazon gift card

Related Products

Description

Palmitoyl-protein thioesterase 1 (PPT-1), also known as palmitoyl-protein hydrolase 1, is an enzyme that in humans is encoded by the PPT1 gene. PPT-1 is a member of the palmitoyl protein thioesterase family. The protein encoded by this gene is a small glycoprotein involved in the catabolism of lipid-modified proteins during lysosomal degradation. The encoded enzyme removes thioester-linked fatty acyl groups such as palmitate from cysteine residues. Defects in this gene are a cause of infantile neuronal ceroid lipofuscinosis 1 (CLN1, or INCL) and neuronal ceroid lipofuscinosis 4 (CLN4). Two transcript variants encoding different isoforms have been found for this gene.

Application Notes

Optimal dilution of the PPT1 antibody should be determined by the researcher.

Immunogen

Amino acids KEDVYRNHSIFLADINQERGINESYKKNLMALKK of human PPT1 were used as the immunogen for the PPT1 antibody.

Storage

After reconstitution, the PPT1 antibody can be stored for up to one month at 4oC. For long-term, aliquot and store at -20oC. Avoid repeated freezing and thawing.

Cross
Bulk Quote Request Form
Name*:
Organization*:
Email*:
Phone Number*:
Catalog No.*:
Comments and Specifics(amount, formulation, etc.)*:
Validation code: Captchapackage Image


Can't read the image? click here to refresh.
    *required field

Your bulk quote request has been submitted successfully!

Please contact us if you have any questions.