• Tel: 858.663.9055
  • SeparatorEmail: info@nsjbio.com
  • Tel: 858.663.9055
  • Email: info@nsjbio.com
Home >> Antibodies >> PPT1 Antibody

PPT1 Antibody [clone 1117CT11.2.1.4] (F54333)

  Catalog No Formulation Size Price (USD)  
Image F54333-0.4ML In 1X PBS, pH 7.4, with 0.09% sodium azide 0.4 ml 429
Image
F54333-0.08ML In 1X PBS, pH 7.4, with 0.09% sodium azide 0.08 ml 199
Bulk quote request
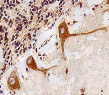
IHC testing of FFPE human cerebellum tissue with PPT1 antibody. HIER: steam section in pH6 citrate buffer for 20 min and allow to cool prior to staining.
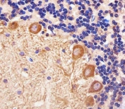
IHC testing of FFPE mouse cerebellum tissue with PPT1 antibody. HIER: steam section in pH6 citrate buffer for 20 min and allow to cool prior to staining.
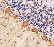
IHC testing of FFPE rat cerebellum tissue with PPT1 antibody. HIER: steam section in pH6 citrate buffer for 20 min and allow to cool prior to staining.
Western blot testing of human HepG2 cell lysate with PPT1 antibody. Predicted molecular weight ~34 kDa.
Flow cytometry testing of fixed and permeabilized human HepG2 cells with PPT1 antibody; Blue=isotype control, Green= PPT1 antibody.
Availability 1-3 business days
Species Reactivity Human
Format Purified
Clonality Monoclonal (mouse origin)
Isotype Mouse IgG1
Clone Name 1117CT11.2.1.4
Purity Protein G affinity
UniProt P50897
Localization Cytoplasmic
Applications Immunohistochemistry (FFPE) : 1:25
Flow Cytometry : 1:25 (1x10e6 cells)
Western Blot : 1:500-1:2000
Limitations This PPT1 antibody is available for research use only.
Review this product on BioCompare and get a $20 Amazon gift card

Related Products

  • Applications : WB, IHC-P, FACS
    Reactivity : Human, Rat

Description

Removes thioester-linked fatty acyl groups such as palmitate from modified cysteine residues in proteins or peptides during lysosomal degradation. Prefers acyl chain lengths of 14 to 18 carbons.

Application Notes

The stated application concentrations are suggested starting points. Titration of the PPT1 antibody may be required due to differences in protocols and secondary/substrate sensitivity.

Immunogen

Full length recombinant human protein was used as the immunogen for the PPT1 antibody.

Storage

Aliquot the PPT1 antibody and store frozen at -20oC or colder. Avoid repeated freeze-thaw cycles.

Cross
Bulk Quote Request Form
Name*:
Organization*:
Email*:
Phone Number*:
Catalog No.*:
Comments and Specifics(amount, formulation, etc.)*:
Validation code: Captchapackage Image


Can't read the image? click here to refresh.
    *required field

Your bulk quote request has been submitted successfully!

Please contact us if you have any questions.