• Tel: 858.663.9055
  • SeparatorEmail: info@nsjbio.com
  • Tel: 858.663.9055
  • Email: info@nsjbio.com
Home >> Antibodies >> PPP4C Antibody / PP-X

PPP4C Antibody / PP-X (R35112)

  Catalog No Formulation Size Price (USD)  
Image R35112-100UG 0.5 mg/ml in 1X TBS, pH7.3, with 0.5% BSA (US sourced) and 0.02% sodium azide 100 ug 449
Bulk quote request
Western blot testing of HEK293 lysate with PPP4C antibody at 0.3ug/ml. Predicted molecular weight: ~35 kDa.
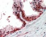
IHC staining of FFPE human prostate with PPP4C antibody at 2.5ug/ml. HIER: steamed with pH6 citrate buffer, AP-staining.
Western blot of rat spleen (A) and lung (B) lysate with PPP4C antibody at 0.3ug/ml. Predicted molecular weight: ~35kDa.
Availability 1-3 business days
Species Reactivity Human, Rat
Predicted Reactivity Dog, Rabbit
Format Antigen affinity purified
Clonality Polyclonal (goat origin)
Isotype Goat Ig
Purity Antigen affinity
Gene ID 5531
Applications Western Blot : 0.1-0.3ug/ml
Immunohistochemistry (FFPE) : 2-4ug/ml
ELISA (peptide) LOD : 1:16000
Limitations This PPP4C antibody is available for research use only.
Review this product on BioCompare and get a $20 Amazon gift card

Related Products

  • Applications : WB, IHC-P, IF, FACS, Direct ELISA
    Reactivity : Human

Description

Additional name(s) for this target protein: Protein phosphatase 4 catalytic subunit

Application Notes

Optimal dilution of the PPP4C antibody should be determined by the researcher.

Immunogen

Amino acids PQETRGIPSKKP were used as the immunogen for this PPP4C antibody.

Storage

Aliquot and store the PPP4C antibody at -20oC.

Cross
Bulk Quote Request Form
Name*:
Organization*:
Email*:
Phone Number*:
Catalog No.*:
Comments and Specifics(amount, formulation, etc.)*:
Validation code: Captchapackage Image


Can't read the image? click here to refresh.
    *required field

Your bulk quote request has been submitted successfully!

Please contact us if you have any questions.