• Tel: 858.663.9055
  • SeparatorEmail: info@nsjbio.com
  • Tel: 858.663.9055
  • Email: info@nsjbio.com
Home >> Antibodies >> PPP3CB Antibody / Calcineurin A beta

PPP3CB Antibody / Calcineurin A beta (RQ8141)

  Catalog No Formulation Size Price (USD)  
Image RQ8141 0.5mg/ml if reconstituted with 0.2ml sterile DI water 100 ug 439
Bulk quote request
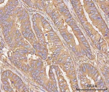
IHC staining of FFPE human rectum adenocarcinoma tissue with PPP3CB antibody. HIER: boil tissue sections in pH8 EDTA for 20 min and allow to cool before testing.
IHC staining of FFPE human tonsil tissue with PPP3CB antibody. HIER: boil tissue sections in pH8 EDTA for 20 min and allow to cool before testing.
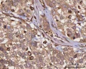
IHC staining of FFPE human urothelial carcinoma tissue with PPP3CB antibody. HIER: boil tissue sections in pH8 EDTA for 20 min and allow to cool before testing.
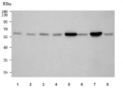
Western blot testing of 1) human MCF7, 2) monkey COS-7, 3) rat brain, 4) rat heart, 5) rat C6, 6) mouse brain, 7) mouse heart and 8) mouse NIH 3T3 cell lysate with PPP3CB antibody. Predicted molecular weight ~59 kDa.
Flow cytometry testing of fixed and permeabilized human U937 cells with PPP3CB antibody at 1ug/million cells (blocked with goat sera); Red=cells alone, Green=isotype control, Blue= PPP3CB antibody.
Availability 1-3 business days
Species Reactivity Human, Mouse, Rat, Monkey
Format Antigen affinity purified
Clonality Polyclonal (rabbit origin)
Isotype Rabbit IgG
Purity Antigen affinity purified
Buffer Lyophilized from 1X PBS with 2% Trehalose
UniProt P16298
Localization Cytoplasm
Applications Western Blot : 0.5-1ug/ml
Immunohistochemistry (FFPE) : 2-5ug/ml
Flow Cytometry : 1-3ug/million cells
Direct ELISA : 0.1-0.5ug/ml
Limitations This PPP3CB antibody is available for research use only.
Review this product on BioCompare and get a $20 Amazon gift card

Description

Serine/threonine-protein phosphatase 2B catalytic subunit beta isoform (PP2BB) is an enzyme that in humans is encoded by the PPP3CB gene. Enables several functions, including calmodulin binding activity; calmodulin-dependent protein phosphatase activity; and protein phosphatase 2B binding activity. Involved in calcineurin-NFAT signaling cascade; positive regulation of transcription by RNA polymerase II; and protein dephosphorylation. Located in cytoplasm. Part of calcineurin complex. Implicated in aortic valve stenosis. Biomarker of focal segmental glomerulosclerosis and schizophrenia.

Application Notes

Optimal dilution of the PPP3CB antibody should be determined by the researcher.

Immunogen

E. coli-derived recombinant human protein (amino acids H36-Q524) was used as the immunogen for the PPP3CB antibody.

Storage

After reconstitution, the PPP3CB antibody can be stored for up to one month at 4oC. For long-term, aliquot and store at -20oC. Avoid repeated freezing and thawing.

Cross
Bulk Quote Request Form
Name*:
Organization*:
Email*:
Phone Number*:
Catalog No.*:
Comments and Specifics(amount, formulation, etc.)*:
Validation code: Captchapackage Image


Can't read the image? click here to refresh.
    *required field

Your bulk quote request has been submitted successfully!

Please contact us if you have any questions.