• Tel: 858.663.9055
  • SeparatorEmail: info@nsjbio.com
  • Tel: 858.663.9055
  • Email: info@nsjbio.com
Home >> Antibodies >> PPP2R5E Antibody / PP2A regulatory subunit epsilon

PPP2R5E Antibody / PP2A regulatory subunit epsilon (FY12281)

  Catalog No Formulation Size Price (USD)  
Image FY12281 Adding 0.2 ml of distilled water will yield a concentration of 500 ug/ml 100 ug 439
Bulk quote request
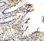
Immunohistochemical staining of PPP2R5E using anti-PPP2R5E antibody. PPP2R5E was detected in a paraffin-embedded section of human colon cancer tissue. Heat mediated antigen retrieval was performed in EDTA buffer (pH 8.0, epitope retrieval solution). The tissue section was blocked with 10% goat serum. The tissue section was then incubated with 2 ug/ml rabbit anti-PPP2R5E antibody overnight at 4oC. Peroxidase Conjugated Goat Anti-rabbit IgG was used as secondary antibody and incubated for 30 minutes at 37oC. The tissue section was developed using an HRP secondary and DAB substrate.
Western blot analysis of PPP2R5E using anti-PPP2R5E antibody. Electrophoresis was performed on a 10% SDS-PAGE gel at 80V (Stacking gel) / 120V (Resolving gel) for 2 hours. Lane 1: rat brain tissue lysates, Lane 2: mouse brain tissue lysates. After electrophoresis, proteins were transferred to a nitrocellulose membrane at 150 mA for 50-90 minutes. Blocked the membrane with 5% non-fat milk/TBS for 1.5 hour at RT. The membrane was incubated with rabbit anti-PPP2R5E antibody at 0.5 ug/ml overnight at 4oC, then washed with TBS-0.1%Tween 3 times with 5 minutes each and probed with a goat anti-rabbit IgG-HRP secondary antibody at a dilution of 1:5000 for 1.5 hour at RT. The signal was developed using an ECL Plus Western Blotting Substrate. The expected molecular weight of PPP2R5E is 46-55 kDa (multiple isoforms).
Immunohistochemical staining of PPP2R5E using anti-PPP2R5E antibody. PPP2R5E was detected in a paraffin-embedded section of human colon tissue. Heat mediated antigen retrieval was performed in EDTA buffer (pH 8.0, epitope retrieval solution). The tissue section was blocked with 10% goat serum. The tissue section was then incubated with 2 ug/ml rabbit anti-PPP2R5E antibody overnight at 4oC. Peroxidase Conjugated Goat Anti-rabbit IgG was used as secondary antibody and incubated for 30 minutes at 37oC. The tissue section was developed using an HRP secondary and DAB substrate.
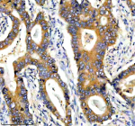
Immunohistochemical staining of PPP2R5E using anti-PPP2R5E antibody. PPP2R5E was detected in a paraffin-embedded section of human stomach cancer tissue. Heat mediated antigen retrieval was performed in EDTA buffer (pH 8.0, epitope retrieval solution). The tissue section was blocked with 10% goat serum. The tissue section was then incubated with 2 ug/ml rabbit anti-PPP2R5E antibody overnight at 4oC. Peroxidase Conjugated Goat Anti-rabbit IgG was used as secondary antibody and incubated for 30 minutes at 37oC. The tissue section was developed using an HRP secondary and DAB substrate.
Flow Cytometry analysis of cells using anti-PPP2R5E antibody. Overlay histogram showing cells stained with (Blue line). To facilitate intracellular staining, cells were fixed with 4% paraformaldehyde and permeabilized with permeabilization buffer. The cells were blocked with 10% normal goat serum. And then incubated with rabbit anti-PPP2R5E antibody (1 ug/million cells) for 30 min at 20oC. DyLight 488 conjugated goat anti-rabbit IgG (5-10 ug/million cells) was used as secondary antibody for 30 minutes at 20oC. Isotype control antibody (Green line) was rabbit IgG (1 ug/million cells) used under the same conditions. Unlabelled sample without incubation with primary antibody and secondary antibody (Red line) was used as a blank control.
Flow Cytometry analysis of U20S cells using anti-PPP2R5E antibody. Overlay histogram showing U20S cells stained with (Blue line). To facilitate intracellular staining, cells were fixed with 4% paraformaldehyde and permeabilized with permeabilization buffer. The cells were blocked with 10% normal goat serum. And then incubated with rabbit anti-PPP2R5E antibody (1 ug/million cells) for 30 min at 20oC. DyLight 488 conjugated goat anti-rabbit IgG (5-10 ug/million cells) was used as secondary antibody for 30 minutes at 20oC. Isotype control antibody (Green line) was rabbit IgG (1 ug/million cells) used under the same conditions. Unlabelled sample without incubation with primary antibody and secondary antibody (Red line) was used as a blank control.
Availability 1-2 days
Species Reactivity Human, Mouse, Rat
Format Lyophilized
Clonality Polyclonal (rabbit origin)
Isotype Rabbit IgG
Purity Immunogen affinity purified
Buffer Each vial contains 4 mg Trehalose, 0.9 mg NaCl, 0.2 mg Na2HPO4.
UniProt Q16537
Localization Cytoplasm
Applications Western Blot : 0.25-0.5ug/ml
Immunohistochemistry : 2-5ug/ml
Flow Cytometry : 1-3ug/million cells
ELISA : 0.1-0.5ug/ml
Limitations This PPP2R5E antibody is available for research use only.
Review this product on BioCompare and get a $20 Amazon gift card

Related Products

Description

PPP2R5E antibody detects Serine/threonine-protein phosphatase 2A 56 kDa regulatory subunit epsilon isoform, encoded by the PPP2R5E gene on chromosome 14q23.2. PPP2R5E antibody is used in studies of phosphatase signaling, cell cycle regulation, and cancer. PPP2R5E encodes a regulatory B56 subunit of protein phosphatase 2A (PP2A), a major serine/threonine phosphatase that regulates diverse cellular processes, including signal transduction, apoptosis, and DNA replication. The B56 epsilon subunit directs PP2A holoenzyme localization and substrate specificity.

Structurally, PPP2R5E is a ~55 kDa protein containing HEAT repeat motifs that mediate protein-protein interactions. It associates with the PP2A catalytic C subunit and scaffolding A subunit to form a heterotrimeric holoenzyme. Alternative splicing produces isoforms that regulate localization and target binding. PPP2R5E is primarily nuclear but can localize to the cytoplasm depending on signaling context.

Functionally, PPP2R5E directs PP2A activity toward substrates involved in cell cycle progression, DNA damage response, and Wnt signaling. It has been implicated in regulation of mitotic exit, checkpoint activation, and dephosphorylation of key transcription factors. Researchers use PPP2R5E antibody to study PP2A holoenzyme regulation, signaling networks, and disease mechanisms.

Clinically, alterations in PP2A subunits, including PPP2R5E, have been linked to cancer, where loss of PP2A tumor suppressor activity contributes to abnormal signaling. Dysregulation of PPP2R5E may influence pathways such as Myc stabilization, Akt signaling, and beta-catenin activity. Because PP2A is a critical tumor suppressor, PPP2R5E and other regulatory subunits are being investigated as biomarkers and therapeutic targets. NSJ Bioreagents provides PPP2R5E antibody for research on phosphatase regulation, cell signaling, and cancer biology.

Experimentally, PPP2R5E antibody is applied in western blotting to detect the ~55 kDa protein, in immunohistochemistry to study tissue expression, and in co-immunoprecipitation to identify PP2A holoenzyme partners. It is also used in phosphatase assays to assess regulatory subunit effects on enzymatic activity.

Application Notes

Optimal dilution of the PPP2R5E antibody should be determined by the researcher.

Immunogen

E.coli-derived human PPP2R5E recombinant protein (Position: K41-Q434) was used as the immunogen for the PPP2R5E antibody.

Storage

After reconstitution, the PPP2R5E antibody can be stored for up to one month at 4oC. For long-term, aliquot and store at -20oC. Avoid repeated freezing and thawing.

Cross
Bulk Quote Request Form
Name*:
Organization*:
Email*:
Phone Number*:
Catalog No.*:
Comments and Specifics(amount, formulation, etc.)*:
Validation code: Captchapackage Image


Can't read the image? click here to refresh.
    *required field

Your bulk quote request has been submitted successfully!

Please contact us if you have any questions.