• Tel: 858.663.9055
  • SeparatorEmail: info@nsjbio.com
  • Tel: 858.663.9055
  • Email: info@nsjbio.com
Home >> Antibodies >> PPP2R2A Antibody

PPP2R2A Antibody (F54737)

  Catalog No Formulation Size Price (USD)  
Image F54737-0.4ML In 1X PBS, pH 7.4, with 0.09% sodium azide 0.4 ml 429
Image
F54737-0.08ML In 1X PBS, pH 7.4, with 0.09% sodium azide 0.08 ml 199
Bulk quote request
Western blot testing of human ZR-75-1 cell lysate with PPP2R2A antibody. Predicted molecular weight ~52 kDa.
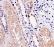
IHC testing of FFPE human kidney tissue with PPP2R2A antibody. HIER: steam section in pH6 citrate buffer for 20 min and allow to cool prior to staining.
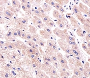
IHC testing of FFPE human liver tissue with PPP2R2A antibody. HIER: steam section in pH6 citrate buffer for 20 min and allow to cool prior to staining.
Immunofluorescent staining of human HeLa cells with PPP2R2A antibody (green) and anti-Actin (red).
Availability 1-3 business days
Species Reactivity Human
Format Purified
Clonality Polyclonal (rabbit origin)
Isotype Rabbit Ig
Purity Antigen affinity purified
UniProt P63151
Localization Nuclear, cytoplasmic
Applications Immunohistochemistry (FFPE) : 1:25
Immunofluorescence : 1:25
Western Blot : 1:500-1:1000
Limitations This PPP2R2A antibody is available for research use only.
Review this product on BioCompare and get a $20 Amazon gift card

Description

The B regulatory subunit might modulate substrate selectivity and catalytic activity, and also might direct the localization of the catalytic enzyme to a particular subcellular compartment.

Application Notes

The stated application concentrations are suggested starting points. Titration of the PPP2R2A antibody may be required due to differences in protocols and secondary/substrate sensitivity.

Immunogen

A portion of amino acids 43-71 from the human protein was used as the immunogen for the PPP2R2A antibody.

Storage

Aliquot the PPP2R2A antibody and store frozen at -20oC or colder. Avoid repeated freeze-thaw cycles.

Cross
Bulk Quote Request Form
Name*:
Organization*:
Email*:
Phone Number*:
Catalog No.*:
Comments and Specifics(amount, formulation, etc.)*:
Validation code: Captchapackage Image


Can't read the image? click here to refresh.
    *required field

Your bulk quote request has been submitted successfully!

Please contact us if you have any questions.