• Tel: 858.663.9055
  • SeparatorEmail: info@nsjbio.com
  • Tel: 858.663.9055
  • Email: info@nsjbio.com
Home >> Antibodies >> PPP2R1A Antibody

PPP2R1A Antibody (RQ6671)

  Catalog No Formulation Size Price (USD)  
Image RQ6671 0.5mg/ml if reconstituted with 0.2ml sterile DI water 100 ug 439
Bulk quote request
Immunofluorescent staining of FFPE human A549 cells with PPP2R1A antibody (green) and DAPI nuclear stain (blue). HIER: steam section in pH6 citrate buffer for 20 min.
Flow cytometry testing of human 293T cells with PPP2R1A antibody at 1ug/million cells (blocked with goat sera); Red=cells alone, Green=isotype control, Blue= PPP2R1A antibody.
Flow cytometry testing of mouse RAW264.7 cells with PPP2R1A antibody at 1ug/million cells (blocked with goat sera); Red=cells alone, Green=isotype control, Blue= PPP2R1A antibody.
Flow cytometry testing of rat C6 cells with PPP2R1A antibody at 1ug/million cells (blocked with goat sera); Red=cells alone, Green=isotype control, Blue= PPP2R1A antibody.
Western blot testing of 1) human HepG2, 2) rat kidney, 3) mouse liver and 4) mouse kidney tissue lysate with PPP2R1A antibody. Predicted molecular weight ~65 kDa.
Western blot testing of 1) human HeLa, 2) human HepG2, 3) human A431, 4) monkey COS-7, 5) rat kidney, 6) rat C6 and 7) mouse NIH 3T3 cell lysate with PPP2R1A antibody. Predicted molecular weight ~65 kDa.
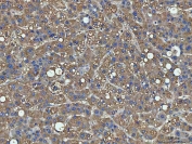
IHC staining of FFPE human liver cancer tissue with PPP2R1A antibody. HIER: boil tissue sections in pH8 EDTA for 20 min and allow to cool before testing.
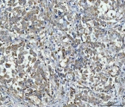
IHC staining of FFPE human lung cancer tissue with PPP2R1A antibody. HIER: boil tissue sections in pH8 EDTA for 20 min and allow to cool before testing.
Availability 1-3 business days
Species Reactivity Human, Mouse, Rat, Monkey
Format Antigen affinity purified
Clonality Polyclonal (rabbit origin)
Isotype Rabbit IgG
Purity Antigen affinity purified
Buffer Lyophilized from 1X PBS with 2% Trehalose
UniProt P30153
Localization Cytoplasmic, nuclear
Applications Western Blot : 1-2ug/ml
Immunofluorescence (FFPE) : 5ug/ml
Flow Cytometry : 1-3ug/million cells
Immunohistochemistry (FFPE) : 2-5ug/ml
Limitations This PPP2R1A antibody is available for research use only.
Review this product on BioCompare and get a $20 Amazon gift card

Related Products

  • Applications : WB, ELISA (peptide)
    Reactivity : Human
    Pred. Reactivity : Mouse, Rat, Dog, Pig, Cow

Description

Serine/threonine-protein phosphatase 2A 65 kDa regulatory subunit A alpha isoform is an enzyme that in humans is encoded by the PPP2R1A gene. This gene encodes a constant regulatory subunit of protein phosphatase 2. Protein phosphatase 2 is one of the four major Ser/Thr phosphatases, and it is implicated in the negative control of cell growth and division. It consists of a common heteromeric core enzyme, which is composed of a catalytic subunit and a constant regulatory subunit, that associates with a variety of regulatory subunits. The constant regulatory subunit A serves as a scaffolding molecule to coordinate the assembly of the catalytic subunit and a variable regulatory B subunit. This gene encodes an alpha isoform of the constant regulatory subunit A. Alternatively spliced transcript variants have been described.

Application Notes

Optimal dilution of the PPP2R1A antibody should be determined by the researcher.

Immunogen

Amino acids KVKEFCENLSADCRENVIMSQ from the human protein were used as the immunogen for the PPP2R1A antibody.

Storage

After reconstitution, the PPP2R1A antibody can be stored for up to one month at 4oC. For long-term, aliquot and store at -20oC. Avoid repeated freezing and thawing.

Cross
Bulk Quote Request Form
Name*:
Organization*:
Email*:
Phone Number*:
Catalog No.*:
Comments and Specifics(amount, formulation, etc.)*:
Validation code: Captchapackage Image


Can't read the image? click here to refresh.
    *required field

Your bulk quote request has been submitted successfully!

Please contact us if you have any questions.