• Tel: 858.663.9055
  • SeparatorEmail: info@nsjbio.com
  • Tel: 858.663.9055
  • Email: info@nsjbio.com
Home >> Antibodies >> PPCS Antibody

PPCS Antibody [clone 7G13] (RQ5506)

  Catalog No Formulation Size Price (USD)  
Image RQ5506 0.5mg/ml if reconstituted with 0.2ml sterile DI water 100 ug 439
Bulk quote request
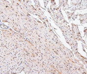
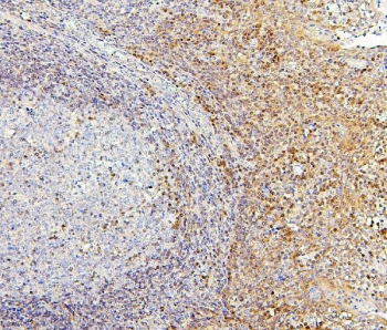
IHC staining of FFPE human tonsil with PPCS antibody. HIER: boil tissue sections in pH6, 10mM citrate buffer, for 20 min and allow to cool before testing.
IHC staining of FFPE mouse heart with PPCS antibody. HIER: boil tissue sections in pH6, 10mM citrate buffer, for 20 min and allow to cool before testing.
IHC staining of FFPE rat heart with PPCS antibody. HIER: boil tissue sections in pH6, 10mM citrate buffer, for 20 min and allow to cool before testing.
Western blot testing of human 1) A375 and 2) COLO-320 cell lysate with PPCS antibody. Predicted molecular weight ~34 kDa.
Flow cytometry testing of human PC-3 cells with PPCS antibody at 1ug/million cells (blocked with goat sera); Red=cells alone, Green=isotype control, Blue= PPCS antibody.
Flow cytometry testing of human SiHa cells with PPCS antibody at 1ug/million cells (blocked with goat sera); Red=cells alone, Green=isotype control, Blue= PPCS antibody.
Availability 1-3 business days
Species Reactivity Human, Mouse, Rat
Format Antigen affinity purified
Clonality Monoclonal (mouse origin)
Isotype Mouse IgG2a
Clone Name 7G13
Purity Affinity purified
Buffer Lyophilized from 1X PBS with 2% Trehalose and 0.025% sodium azide
UniProt Q9HAB8
Applications Western Blot : 0.5-1ug/ml
Immunohistochemistry (FFPE) : 1-2ug/ml
Flow Cytometry : 1-3ug/million cells
Limitations This PPCS antibody is available for research use only.
Review this product on BioCompare and get a $20 Amazon gift card

Related Products

Description

Phosphopantothenoylcysteine synthetase in humans is encoded by the PPCS gene. Biosynthesis of coenzyme A (CoA) from pantothenic acid (vitamin B5) is an essential universal pathway in prokaryotes and eukaryotes. PPCS, one of the last enzymes in this pathway, converts phosphopantothenate to phosphopantothenoylcysteine. By genomic sequence analysis, this PPCS gene ia mapped to chromosome 1.

Application Notes

Optimal dilution of the PPCS antibody should be determined by the researcher.

Immunogen

Amino acids VEIEEKIVDNLQSRHTAFIGDRN were used as the immunogen for the PPCS antibody.

Storage

After reconstitution, the PPCS antibody can be stored for up to one month at 4oC. For long-term, aliquot and store at -20oC. Avoid repeated freezing and thawing.

Cross
Bulk Quote Request Form
Name*:
Organization*:
Email*:
Phone Number*:
Catalog No.*:
Comments and Specifics(amount, formulation, etc.)*:
Validation code: Captchapackage Image


Can't read the image? click here to refresh.
    *required field

Your bulk quote request has been submitted successfully!

Please contact us if you have any questions.