• Tel: 858.663.9055
  • SeparatorEmail: info@nsjbio.com
  • Tel: 858.663.9055
  • Email: info@nsjbio.com
Home >> Antibodies >> PP18 Antibody / Placental protein 18 / BCAT2

PP18 Antibody / Placental protein 18 / BCAT2 (RQ8468)

  Catalog No Formulation Size Price (USD)  
Image RQ8468 0.5mg/ml if reconstituted with 0.2ml sterile DI water 100 ug 439
Bulk quote request
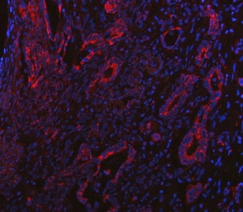
Immunofluorescent staining of FFPE human intestinal cancer tissue with PP18 antibody (red) and DAPI nuclear stain (blue). HIER: steam section in pH8 EDTA buffer for 20 min.
IHC staining of FFPE human lung cancer tissue with PP18 antibody. HIER: boil tissue sections in pH8 EDTA for 20 min and allow to cool before testing.
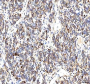
IHC staining of FFPE human urothelial carcinoma tissue with PP18 antibody. HIER: boil tissue sections in pH8 EDTA for 20 min and allow to cool before testing.
IHC staining of FFPE human liver cancer tissue with PP18 antibody. HIER: boil tissue sections in pH8 EDTA for 20 min and allow to cool before testing.
IHC staining of FFPE human colon adenocarcinoma tissue with PP18 antibody. HIER: boil tissue sections in pH8 EDTA for 20 min and allow to cool before testing.
Western blot testing of human 1) RT4, 2) 293T and 3) A431 cell lysate with PP18 antibody. Predicted molecular weight: 34-44 kDa (multiple isoforms).
Western blot testing of 1) rat kidney, 2) rat heart, 3) rat stomach and 4) mouse kidney tissue lysate with PP18 antibody. Predicted molecular weight: 34-44 kDa (multiple isoforms).
Flow cytometry testing of fixed and permeabilized human MCF7 cells with PP18 antibody at 1ug/million cells (blocked with goat sera); Red=cells alone, Green=isotype control, Blue= PP18 antibody.
Availability 1-3 days
Species Reactivity Human, Mouse, Rat
Format Antigen affinity purified
Clonality Polyclonal (rabbit origin)
Isotype Rabbit IgG
Purity Antigen affinity purified
Buffer Lyophilized from 1X PBS with 2% Trehalose
UniProt O15382
Localization Cytoplasm (Mitochondria)
Applications Western Blot : 0.5-1ug/ml
Immunohistochemistry (FFPE) : 2-5ug/ml
Flow Cytometry : 1-3ug/million cells
Immunofluorescence : 5ug/ml
ELISA : 0.1-0.5ug/ml
Limitations This PP18 antibody is available for research use only.
Review this product on BioCompare and get a $20 Amazon gift card

Related Products

  • Applications : WB, IHC-P
    Reactivity : Human

Description

BCAT2, branched-chain aminotransferase 2, also called Placental protein 18, encodes a branched chain aminotransferase found in mitochondria. The encoded protein forms a dimer that catalyzes the first step in the production of the branched chain amino acids leucine, isoleucine, and valine. Multiple transcript variants encoding different isoforms have been found for this gene. The human BCAT2 gene is mapped to 19q13.

Application Notes

Optimal dilution of the PP18 antibody should be determined by the researcher.

Immunogen

An E.coli-derived human recombinant protein (amino acids A11-E363) was used as the immunogen for the PP18 antibody.

Storage

After reconstitution, the PP18 antibody can be stored for up to one month at 4oC. For long-term, aliquot and store at -20oC. Avoid repeated freezing and thawing.

Cross
Bulk Quote Request Form
Name*:
Organization*:
Email*:
Phone Number*:
Catalog No.*:
Comments and Specifics(amount, formulation, etc.)*:
Validation code: Captchapackage Image


Can't read the image? click here to refresh.
    *required field

Your bulk quote request has been submitted successfully!

Please contact us if you have any questions.