• Tel: 858.663.9055
  • SeparatorEmail: info@nsjbio.com
  • Tel: 858.663.9055
  • Email: info@nsjbio.com
Home >> Antibodies >> POU2AF1 Antibody

POU2AF1 Antibody (R36402)

  Catalog No Formulation Size Price (USD)  
Image R36402-100UG 0.5 mg/ml in 1X TBS, pH7.3, with 0.5% BSA (US sourced) and 0.02% sodium azide 100 ug 449
Bulk quote request
Western blot testing of Daudi lysate with POU2AF1 antibody at 0.3ug/ml. Predicted molecular weight: ~28/35-40kDa (unmodified/ubiquitinated).
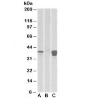
Western blot of HEK293 lysate overexpressing human POU2AF1-FLAG probed with POU2AF1 antibody (1ug/ml) in lane A and with anti-FLAG (1/3000) in lane C. Mock-transfected probed with anti-BOB-1 (1ug/ml) in lane B. Predicted molecular weight: ~28/35-40kDa (unmodified/ubiquitinated).
Availability 1-3 business days
Species Reactivity Human
Predicted Reactivity Cow, Dog, Mouse, Rat
Format Antigen affinity purified
Clonality Polyclonal (goat origin)
Isotype Goat Ig
Purity Antigen affinity
Gene ID 5450
Applications Western Blot : 0.5-2ug/ml
ELISA (peptide) LOD : 1:32000
Limitations This POU2AF1 antibody is available for research use only.
Review this product on BioCompare and get a $20 Amazon gift card

Related Products

Description

Additional name(s) for this target protein: POU class 2 associating factor 1; BOB-1

Application Notes

Optimal dilution of the POU2AF1 antibody should be determined by the researcher.

Immunogen

Amino acids YTEYVPHEAVSCP were used as the immunogen for this POU2AF1 antibody.

Storage

Aliquot and store the POU2AF1 antibody at -20oC.

Cross
Bulk Quote Request Form
Name*:
Organization*:
Email*:
Phone Number*:
Catalog No.*:
Comments and Specifics(amount, formulation, etc.)*:
Validation code: Captchapackage Image


Can't read the image? click here to refresh.
    *required field

Your bulk quote request has been submitted successfully!

Please contact us if you have any questions.