• Tel: 858.663.9055
  • SeparatorEmail: info@nsjbio.com
  • Tel: 858.663.9055
  • Email: info@nsjbio.com
Home >> Antibodies >> POU2AF1 Antibody / BOB-1

POU2AF1 Antibody / BOB-1 (F55017)

  Catalog No Formulation Size Price (USD)  
Image F55017-0.4ML In 1X PBS, pH 7.4, with 0.09% sodium azide 0.4 ml 429
Image
F55017-0.08ML In 1X PBS, pH 7.4, with 0.09% sodium azide 0.08 ml 199
Bulk quote request
Flow cytometry testing of human Ramos cells with POU2AF1 antibody; Blue=isotype control, Green= POU2AF1 antibody.
Western blot testing of human Ramos cell lysate with POU2AF1 antibody. Expected molecular weight: ~28/35-40 kDa (unmodified/ubiquitinated).
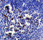
IHC testing of FFPE human tonsil tissue with POU2AF1 antibody. HIER: steam section in pH6 citrate buffer for 20 min and allow to cool prior to staining.
Availability 1-3 business days
Species Reactivity Human
Format Purified
Clonality Polyclonal (rabbit origin)
Isotype Rabbit Ig
Purity Antigen affinity purified
UniProt Q16633
Localization Nuclear
Applications Immunohistochemistry (FFPE) : 1:10-1:50
Flow Cytometry : 1:10-1:50 (1x10e6 cells)
Western Blot : 1:1000-1:2000
Limitations This POU2AF1 antibody is available for research use only.
Review this product on BioCompare and get a $20 Amazon gift card

Related Products

Description

POU2AF1 is transcriptional coactivator that specifically associates with either OCT1 or OCT2. It boosts the OCT1 mediated promoter activity and to a lesser extent, that of OCT2. It has no intrinsic DNA-binding activity. It recognizes the POU domains of OCT1 and OCT2. It is essential for the response of B-cells to antigens and required for the formation of germinal centers.

Application Notes

The stated application concentrations are suggested starting points. Titration of the POU2AF1 antibody may be required due to differences in protocols and secondary/substrate sensitivity.

Immunogen

A portion of amino acids 1-27 from the human protein was used as the immunogen for the POU2AF1 antibody.

Storage

Aliquot the POU2AF1 antibody and store frozen at -20oC or colder. Avoid repeated freeze-thaw cycles.

Cross
Bulk Quote Request Form
Name*:
Organization*:
Email*:
Phone Number*:
Catalog No.*:
Comments and Specifics(amount, formulation, etc.)*:
Validation code: Captchapackage Image


Can't read the image? click here to refresh.
    *required field

Your bulk quote request has been submitted successfully!

Please contact us if you have any questions.