• Tel: 858.663.9055
  • SeparatorEmail: info@nsjbio.com
  • Tel: 858.663.9055
  • Email: info@nsjbio.com
Home >> Antibodies >> POU2AF1 Antibody / BOB-1

POU2AF1 Antibody / BOB-1 [clone BOB1/7468] (V4186)

  Catalog No Formulation Size Price (USD)  
Image V4186-100UG 0.2 mg/ml in 1X PBS with 0.1 mg/ml BSA (US sourced), 0.05% sodium azide 100 ug 539
Image
V4186-20UG 0.2 mg/ml in 1X PBS with 0.1 mg/ml BSA (US sourced), 0.05% sodium azide 20 ug 249
Image
V4186SAF-100UG 1 mg/ml in 1X PBS; BSA free, sodium azide free 100 ug 539
Bulk quote request
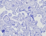
IHC staining of FFPE human tonsil tissue with BOB1 antibody (clone BOB1/7468). HIER: boil tissue sections in pH 9 10mM Tris with 1mM EDTA for 20 min and allow to cool before testing.
IHC staining of FFPE human tonsil tissue with BOB1 antibody (clone BOB1/7468). HIER: boil tissue sections in pH 9 10mM Tris with 1mM EDTA for 20 min and allow to cool before testing.
Negative control: IHC testing of FFPE human placental tissue with BOB1 antibody (clone BOB1/7468) at 2ug/ml. HIER: boil tissue sections in pH 9 10mM Tris with 1mM EDTA for 20 min and allow to cool before testing.
SDS-PAGE analysis of purified, BSA-free BOB1 antibody (clone BOB1/7468) as confirmation of integrity and purity.
Availability 1-3 business days
Species Reactivity Human
Format Purified
Clonality Monoclonal (mouse origin)
Isotype Mouse IgG
Clone Name BOB1/7468
Purity Protein A/G affinity
UniProt Q16633
Localization Nucleus
Applications Immunohistochemistry (FFPE) : 1-2ug/ml
Limitations This POU2AF1 antibody is available for research use only.
Review this product on BioCompare and get a $20 Amazon gift card

Related Products

Description

BOB.1 expression in a variety of established B-cell lines, representing different stages of B-cell development, has suggested a constitutive, B-cell-specific expression pattern. LP cells in nodular lymphocyte predominant Hodgkin lymphoma, because they are germinal center-derived, are consistently immuno-positive for BOB.1. Conversely, only some cases of classical Hodgkin lymphoma show BOB.1 immuno-reactivity within the Hodgkin and Reed-Sternberg cells. Expression of BOB.1 has been reported in follicular center cell lymphoma, diffuse large B-cell lymphoma and some cases of acute myeloid leukemia. B-CLL, marginal zone lymphoma, and mantle cell lymphoma may show weak to moderate immunoreactivity.

Application Notes

Optimal dilution of the POU2AF1 antibody should be determined by the researcher.

Immunogen

A recombinant partial protein (within amino acids 148-255) from the human protein was used as the immunogen for the POU2AF1 antibody.

Storage

Aliquot the POU2AF1 antibody and store frozen at -20oC or colder. Avoid repeated freeze-thaw cycles.

Cross
Bulk Quote Request Form
Name*:
Organization*:
Email*:
Phone Number*:
Catalog No.*:
Comments and Specifics(amount, formulation, etc.)*:
Validation code: Captchapackage Image


Can't read the image? click here to refresh.
    *required field

Your bulk quote request has been submitted successfully!

Please contact us if you have any questions.