• Tel: 858.663.9055
  • SeparatorEmail: info@nsjbio.com
  • Tel: 858.663.9055
  • Email: info@nsjbio.com
Home >> Antibodies >> POSTN Antibody / Periostin

POSTN Antibody / Periostin (F54359)

  Catalog No Formulation Size Price (USD)  
Image F54359-0.4ML In 1X PBS, pH 7.4, with 0.09% sodium azide 0.4 ml 429
Image
F54359-0.08ML In 1X PBS, pH 7.4, with 0.09% sodium azide 0.08 ml 199
Bulk quote request
Flow cytometry testing of fixed and permeabilized human HeLa cells with POSTN antibody; Blue=isotype control, Green= POSTN antibody.
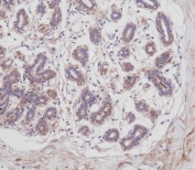
IHC testing of FFPE human breast tissue with POSTN antibody. HIER: steam section in pH9 EDTA for 20 min and allow to cool prior to staining.
Immunofluorescent staining of fixed and permeabilized human A375 cells with POSTN antibody (green) and DAPI nuclear stain (blue).
Western blot testing of 1) human breast and 2) rat lung lysate with POSTN antibody. Predicted molecular weight ~93 kDa.
Availability 1-3 business days
Species Reactivity Human, Rat
Format Purified
Clonality Polyclonal (rabbit origin)
Isotype Rabbit Ig
Purity Antigen affinity purified
UniProt Q15063
Localization Cytoplasm, extracellular space
Applications Immunohistochemistry (FFPE) : 1:25
Immunofluorescence : 1:25
Western Blot : 1:500-1:2000
Flow Cytometry : 1:25 (1x10e6 cells)
Limitations This POSTN antibody is available for research use only.
Review this product on BioCompare and get a $20 Amazon gift card

Related Products

Description

POSTN binds to heparin. It induces cell attachment and spreading and plays a role in cell adhesion and may play a role in extracellular matrix mineralization.

Application Notes

The stated application concentrations are suggested starting points. Titration of the POSTN antibody may be required due to differences in protocols and secondary/substrate sensitivity.

Immunogen

A portion of amino acids 687-716 from the human protein was used as the immunogen for the POSTN antibody.

Storage

Aliquot the POSTN antibody and store frozen at -20oC or colder. Avoid repeated freeze-thaw cycles.

Cross
Bulk Quote Request Form
Name*:
Organization*:
Email*:
Phone Number*:
Catalog No.*:
Comments and Specifics(amount, formulation, etc.)*:
Validation code: Captchapackage Image


Can't read the image? click here to refresh.
    *required field

Your bulk quote request has been submitted successfully!

Please contact us if you have any questions.