• Tel: 858.663.9055
  • SeparatorEmail: info@nsjbio.com
  • Tel: 858.663.9055
  • Email: info@nsjbio.com
Home >> Antibodies >> POR Antibody / CYPOR / Cytochrome P450 Oxidoreductase

POR Antibody / CYPOR / Cytochrome P450 Oxidoreductase (R31983)

  Catalog No Formulation Size Price (USD)  
Image R31983 0.5mg/ml if reconstituted with 0.2ml sterile DI water 100 ug 439
Bulk quote request
Western blot testing of 1) rat liver, 2) human placenta, 3) human HepG2 and 4) mouse HEPA1-6 lysate with POR antibody. Predicted molecular weight: ~77 kDa, observed here at ~85 kDa.
IHC testing of FFPE human breast cancer with POR antibody. HIER: Boil the paraffin sections in pH 6, 10mM citrate buffer for 20 minutes and allow to cool prior to staining.
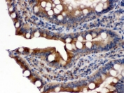
IHC testing of FFPE mouse intestine with POR antibody. HIER: Boil the paraffin sections in pH 6, 10mM citrate buffer for 20 minutes and allow to cool prior to staining.
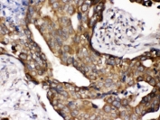
IHC testing of FFPE rat intestine with POR antibody. HIER: Boil the paraffin sections in pH 6, 10mM citrate buffer for 20 minutes and allow to cool prior to staining.
Flow cytometry testing of human A549 cells with POR antibody at 1ug/10^6 cells (blocked with goat sera); Red=cells alone, Green=isotype control, Blue=POR antibody.
Flow cytometry testing of human K562 cells with POR antibody at 1ug/10^6 cells (blocked with goat sera); Red=cells alone, Green=isotype control, Blue=POR antibody.
Flow cytometry testing of human SiHa cells with POR antibody at 1ug/10^6 cells (blocked with goat sera); Red=cells alone, Green=isotype control, Blue=POR antibody.
Availability 1-3 business days
Species Reactivity Human, Mouse, Rat
Format Antigen affinity purified
Clonality Polyclonal (rabbit origin)
Isotype Rabbit IgG
Purity Antigen affinity
Buffer Lyophilized from 1X PBS with 2.5% BSA and 0.025% sodium azide
UniProt P16435
Localization Cytoplasmic, membrane
Applications Western Blot : 0.1-0.5ug/ml
IHC (FFPE) : 0.5-1ug/ml
FACS : 1-3ug/10^6 cells
Limitations This POR antibody is available for research use only.
Review this product on BioCompare and get a $20 Amazon gift card

Related Products

Description

POR is a membrane-bound enzyme required for electron transfer from NADPH to Cytochrome p450 in the endoplasmic reticulum of theeukaryotic cell. The gene encodes an endoplasmic reticulum membrane oxidoreductase with an FAD-binding domain and a flavodoxin-like domain. The protein binds two cofactors, FAD and FMN, which allow it to donate electrons directly from NADPH to all microsomal p450 enzymes. Mutations in this gene have been associated with various diseases, including apparent combined p450C17 and p450C21 deficiency, amenorrhea and disordered steroidogenesis, congenital adrenal hyperplasia and Antley-Bixler syndrome.

Application Notes

Optimal dilution of the POR antibody should be determined by the researcher.

Immunogen

Amino acids RNMARDVQNTFYDIVAELGAMEHAQAVDYIKKLMTK of human Cytochrome P450 Oxidoreductase were used as the immunogen for the POR antibody.

Storage

After reconstitution, the POR antibody can be stored for up to one month at 4oC. For long-term, aliquot and store at -20oC. Avoid repeated freezing and thawing.

Cross
Bulk Quote Request Form
Name*:
Organization*:
Email*:
Phone Number*:
Catalog No.*:
Comments and Specifics(amount, formulation, etc.)*:
Validation code: Captchapackage Image


Can't read the image? click here to refresh.
    *required field

Your bulk quote request has been submitted successfully!

Please contact us if you have any questions.