• Tel: 858.663.9055
  • SeparatorEmail: info@nsjbio.com
  • Tel: 858.663.9055
  • Email: info@nsjbio.com
Home >> Antibodies >> POMC Antibody

POMC Antibody (R34762)

  Catalog No Formulation Size Price (USD)  
Image R34762-100UG 0.5 mg/ml in 1X TBS, pH7.3, with 0.5% BSA (US sourced) and 0.02% sodium azide 100 ug 449
Bulk quote request
Western blot testing of NIH3T3 lysate with POMC antibody at 0.1ug/ml. Predicted molecular weight ~29kDa.
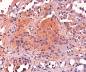
IHC staining of FFPE human pituitary gland with POMC antibody at 2ug/ml. HIER: steamed with pH9 Tris/EDTA buffer, HRP-staining.
Availability 1-3 business days
Species Reactivity Human, Mouse
Predicted Reactivity Rat
Format Antigen affinity purified
Clonality Polyclonal (goat origin)
Isotype Goat Ig
Purity Antigen affinity
Gene ID 5443
Applications Western Blot : 0.1-0.3ug/ml
Immunohistochemistry (FFPE) : 4-6ug/ml
ELISA (peptide) LOD : 1:128000
Limitations This POMC antibody is available for research use only.
Review this product on BioCompare and get a $20 Amazon gift card

Related Products

Description

Additional name(s) for this target protein: Proopiomelanocortin, ACTH, CLIP

Application Notes

Optimal dilution of the POMC antibody should be determined by the researcher.

1. In Western blot, the POMC antibody detects the full length precursor protein only.

Immunogen

Amino acids NAIIKNAYKKGE were used as the immunogen for this POMC antibody.

Storage

Aliquot and store the POMC antibody at -20oC.

Cross
Bulk Quote Request Form
Name*:
Organization*:
Email*:
Phone Number*:
Catalog No.*:
Comments and Specifics(amount, formulation, etc.)*:
Validation code: Captchapackage Image


Can't read the image? click here to refresh.
    *required field

Your bulk quote request has been submitted successfully!

Please contact us if you have any questions.