• Tel: 858.663.9055
  • SeparatorEmail: info@nsjbio.com
  • Tel: 858.663.9055
  • Email: info@nsjbio.com
Home >> Antibodies >> POMC Antibody / ACTH

POMC Antibody / ACTH [clone ADEC-16] (RQ4873)

  Catalog No Formulation Size Price (USD)  
Image RQ4873 Antibody in PBS with 0.02% sodium azide, 50% glycerol and 0.4-0.5mg/ml BSA 100 ul 439
Microvalidated Rab Mono Image
Bulk quote request
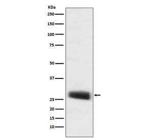
Western blot testing of mouse pituitary lysate with POMC antibody. Predicted molecular weight ~29 kDa.
Availability 1-2 weeks
Species Reactivity Human, Mouse
Format Purified
Clonality Rabbit Monoclonal
Isotype Rabbit IgG
Clone Name ADEC-16
Purity Affinity purified
UniProt P01189
Applications Western Blot : 1:500-1:2000
Limitations This POMC antibody is available for research use only.
Review this product on BioCompare and get a $20 Amazon gift card

Related Products

Description

This gene encodes a preproprotein that undergoes extensive, tissue-specific, post-translational processing via cleavage by subtilisin-like enzymes known as prohormone convertases. There are eight potential cleavage sites within the preproprotein and, depending on tissue type and the available convertases, processing may yield as many as ten biologically active peptides involved in diverse cellular functions. The encoded protein is synthesized mainly in corticotroph cells of the anterior pituitary where four cleavage sites are used; adrenocorticotrophin, essential for normal steroidogenesis and the maintenance of normal adrenal weight, and lipotropin beta are the major end products. In other tissues, including the hypothalamus, placenta, and epithelium, all cleavage sites may be used, giving rise to peptides with roles in pain and energy homeostasis, melanocyte stimulation, and immune modulation. These include several distinct melanotropins, lipotropins, and endorphins that are contained within the adrenocorticotrophin and beta-lipotropin peptides. The antimicrobial melanotropin alpha peptide exhibits antibacterial and antifungal activity. Mutations in this gene have been associated with early onset obesity, adrenal insufficiency, and red hair pigmentation. Alternatively spliced transcript variants encoding the same protein have been described. [RefSeq]

Application Notes

Optimal dilution of the POMC antibody should be determined by the researcher.

Immunogen

A synthetic peptide specific to human POMC was used as the immunogen for the POMC antibody.

Storage

Store the POMC antibody at -20oC.

Cross
Bulk Quote Request Form
Name*:
Organization*:
Email*:
Phone Number*:
Catalog No.*:
Comments and Specifics(amount, formulation, etc.)*:
Validation code: Captchapackage Image


Can't read the image? click here to refresh.
    *required field

Your bulk quote request has been submitted successfully!

Please contact us if you have any questions.