• Tel: 858.663.9055
  • SeparatorEmail: info@nsjbio.com
  • Tel: 858.663.9055
  • Email: info@nsjbio.com
Home >> Antibodies >> Polycystin 1 Antibody / PKD1

Polycystin 1 Antibody / PKD1 (R36500)

  Catalog No Formulation Size Price (USD)  
Image R36500-100UG 0.5 mg/ml in 1X TBS, pH7.3, with 0.5% BSA (US sourced) and 0.02% sodium azide 100 ug 449
Bulk quote request
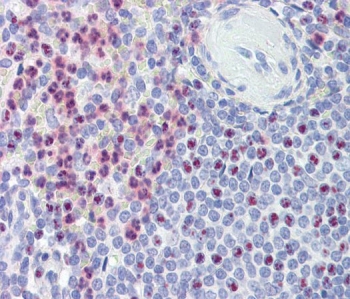
IHC staining of FFPE human spleen tissue with Polycystin 1 antibody. Required HIER: steamed antigen retrieval with pH6 citrate buffer; AP-staining.
IHC staining of FFPE human kidney tissue with Polycystin 1 antibody. Required HIER: steamed antigen retrieval with pH6 citrate buffer; AP-staining.
Availability 1-3 business days
Species Reactivity Human
Format Antigen affinity purified
Clonality Polyclonal (goat origin)
Isotype Goat Ig
Purity Antigen affinity
Gene ID 5587
Applications Immunohistochemistry (FFPE) : 3-5ug/ml
ELISA (peptide) LOD : 1:64000
Limitations This Polycystin 1 antibody is available for research use only.
Review this product on BioCompare and get a $20 Amazon gift card

Description

Polycystin 1, also known as PKD1, is a protein encoded by the PKD1 gene and is crucial in the development of Polycystic Kidney Disease (PKD). PKD1 mutations are responsible for the majority of cases of autosomal dominant PKD, a genetic disorder that causes the formation of fluid-filled cysts in the kidneys. Polycystin 1 is a transmembrane protein that plays a vital role in cell-cell and cell-matrix interactions. It is primarily expressed in the kidneys, liver, pancreas, and other tissues, where it helps regulate cell proliferation, differentiation, and apoptosis. Dysfunction of Polycystin 1 disrupts these essential cellular processes, leading to the formation of cysts in the kidneys. Research has shown that Polycystin 1 interacts with other proteins, such as Polycystin 2, to form a protein complex that regulates calcium signaling and cell growth. Mutations in PKD1 disrupt this complex, causing aberrant calcium signaling and uncontrolled cell proliferation, which ultimately results in cyst formation and kidney damage. Studies have also suggested that Polycystin 1 may play a role in the mechanosensory function of kidney epithelial cells, allowing them to respond to changes in fluid flow and pressure within the nephron. Dysregulation of this mechanosensory function due to PKD1 mutations may contribute to the development and progression of PKD.

Application Notes

Optimal dilution of the Polycystin 1 antibody should be determined by the researcher.

Immunogen

Amino acids RTPLRAKNKVHP were used as the immunogen for this Polycystin 1 antibody.

Storage

Aliquot and store the Polycystin 1 antibody at -20oC.

Cross
Bulk Quote Request Form
Name*:
Organization*:
Email*:
Phone Number*:
Catalog No.*:
Comments and Specifics(amount, formulation, etc.)*:
Validation code: Captchapackage Image


Can't read the image? click here to refresh.
    *required field

Your bulk quote request has been submitted successfully!

Please contact us if you have any questions.