• Tel: 858.663.9055
  • SeparatorEmail: info@nsjbio.com
  • Tel: 858.663.9055
  • Email: info@nsjbio.com
Home >> Antibodies >> POLR2A Antibody / RNA polymerase II subunit RPB1

POLR2A Antibody / RNA polymerase II subunit RPB1 (RQ5679)

  Catalog No Formulation Size Price (USD)  
Image RQ5679 0.5mg/ml if reconstituted with 0.2ml sterile DI water 100 ug 439
Bulk quote request
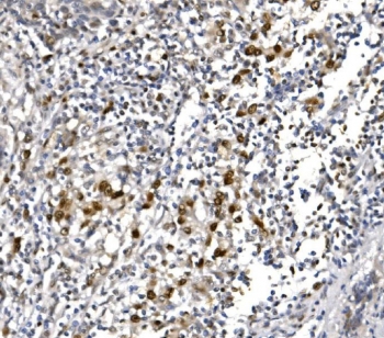
IHC staining of FFPE human lung cancer with POLR2A antibody. HIER: boil tissue sections in pH8 EDTA for 20 min and allow to cool before testing.
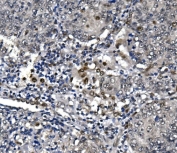
IHC staining of FFPE human lung cancer with POLR2A antibody. HIER: boil tissue sections in pH8 EDTA for 20 min and allow to cool before testing.
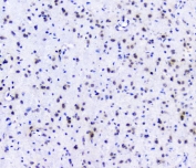
IHC staining of FFPE rat brain with POLR2A antibody. HIER: boil tissue sections in pH8 EDTA for 20 min and allow to cool before testing.
Immunofluorescent staining of FFPE human A549 cells with POLR2A antibody (green) and DAPI nuclear stain (blue). HIER: steam section in pH6 citrate buffer for 20 min.
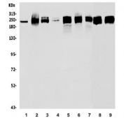
Western blot testing of 1) human HeLa, 2) monkey COS-7, 3) human A549, 4) human PC-3, 5) human Caco-2, 6) human SW620, 7) human HEK293, 8) rat PC-12 and 9) mouse testis lysate with POLR2A antibody. Routinely observed molecular weight: 200-250 kDa.
Flow cytometry testing of human HL-60 cells with POLR2A antibody at 1ug/million cells (blocked with goat sera); Red=cells alone, Green=isotype control, Blue= CD59 antibody.
Availability 1-3 business days
Species Reactivity Human, Mouse, Rat, Monkey
Format Antigen affinity purified
Clonality Polyclonal
Isotype Rabbit IgG
Purity Affinity purified
Buffer Lyophilized from 1X PBS with 2% Trehalose and 0.025% sodium azide
UniProt P24928
Localization Nuclear
Applications Western Blot : 0.5-1ug/ml
Immunohistochemistry : 1-2ug/ml
Immunofluorescence : 2-4ug/ml
Flow Cytometry : 1-3ug/million cells
Direct ELISA : 0.1-0.5ug/ml
Limitations This POLR2A antibody is available for research use only.
Review this product on BioCompare and get a $20 Amazon gift card

Related Products

Description

DNA-directed RNA polymerase II subunit RPB1, also known as RPB1, is an enzyme that in humans is encoded by the POLR2A gene. It is mapped to 17p13.1. This gene encodes the largest subunit of RNA polymerase II, the polymerase responsible for synthesizing messenger RNA in eukaryotes. The product of this gene contains a carboxy terminal domain composed of heptapeptide repeats that are essential for polymerase activity. These repeats contain serine and threonine residues that are phosphorylated in actively transcribing RNA polymerase. In addition, this subunit, in combination with several other polymerase subunits, forms the DNA binding domain of the polymerase, a groove in which the DNA template is transcribed into RNA.

Application Notes

Optimal dilution of the POLR2A antibody should be determined by the researcher.

Immunogen

Recombinant human protein (amino acids D10-E321) was used as the immunogen for the POLR2A antibody.

Storage

After reconstitution, the POLR2A antibody can be stored for up to one month at 4oC. For long-term, aliquot and store at -20oC. Avoid repeated freezing and thawing.

Cross
Bulk Quote Request Form
Name*:
Organization*:
Email*:
Phone Number*:
Catalog No.*:
Comments and Specifics(amount, formulation, etc.)*:
Validation code: Captchapackage Image


Can't read the image? click here to refresh.
    *required field

Your bulk quote request has been submitted successfully!

Please contact us if you have any questions.