• Tel: 858.663.9055
  • SeparatorEmail: info@nsjbio.com
  • Tel: 858.663.9055
  • Email: info@nsjbio.com
Home >> Antibodies >> POLR2A Antibody / RNA polymerase II subunit RPB1

POLR2A Antibody / RNA polymerase II subunit RPB1 [clone CTD 4H8] (V7452)

  Catalog No Formulation Size Price (USD)  
Image V7452-100UG 0.2 mg/ml in 1X PBS with 0.1 mg/ml BSA (US sourced) and 0.05% sodium azide 100 ug 539
Image
V7452-20UG 0.2 mg/ml in 1X PBS with 0.1 mg/ml BSA (US sourced) and 0.05% sodium azide 20 ug 249
Image
V7452SAF-100UG 1 mg/ml in 1X PBS; BSA free, sodium azide free 100 ug 539
Image
V7452IHC-7ML Prediluted in 1X PBS with 0.1 mg/ml BSA (US sourced) and 0.05% sodium azide; *For IHC use only* 7 ml 539
Bulk quote request
Western blot testing of human HAP1, K562, PC3, HepG2, and mouse NIH3T3 lysate with POLR2A antibody (clone CTD 4H8). Routinely observed molecular weight: 200-250 kDa.
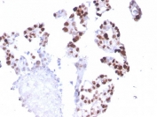
IHC staining of FFPE human breast carcinoma with POLR2A antibody (clone CTD 4H8). HIER: boil tissue sections in pH6, 10mM citrate buffer, for 10-20 min and allow to cool before testing.
SDS-PAGE analysis of purified, BSA-free POLR2A antibody (clone CTD 4H8) as confirmation of integrity and purity.
Availability 1-3 business days
Species Reactivity Human, Mouse, Rat
Format Purified
Clonality Monoclonal (mouse origin)
Isotype Mouse IgG1, kappa
Clone Name CTD 4H8
Purity Protein G affinity chromatography
UniProt P24928
Localization Nuclear
Applications Flow Cytometry : 1-2ug/10^6 cells
Immunofluorescence : 1-2ug/ml
Western Blot : 1-2ug/ml
Immunohistochemistry (FFPE) : 1-2ug/ml for 30 min at RT
Limitations This POLR2A antibody is available for research use only.
Review this product on BioCompare and get a $20 Amazon gift card

Related Products

Description

POLR2A antibody detects the largest subunit of RNA polymerase II, encoded by the POLR2A gene. RNA polymerase II is responsible for transcribing all protein-coding genes, as well as many non-coding RNAs. POLR2A contains a unique C-terminal domain (CTD) with heptad repeats that undergo dynamic phosphorylation, regulating transcription initiation, elongation, and termination. Because transcriptional regulation underlies nearly all aspects of cell biology, POLR2A antibody is indispensable in molecular biology, epigenetics, and cancer research.

The POLR2A subunit serves as a central platform for assembly of transcription factors, elongation factors, and RNA processing machinery. The phosphorylation state of the CTD determines the recruitment of capping enzymes, splicing factors, and polyadenylation complexes. This sequential modification of CTD repeats acts as a molecular code, coordinating transcription with co-transcriptional RNA processing. Dysregulation of POLR2A activity has profound consequences, contributing to developmental disorders and cancer.

The POLR2A antibody clone CTD 4H8 specifically recognizes epitopes within the C-terminal domain. Clone CTD 4H8 has been widely cited in peer-reviewed studies that investigate transcriptional dynamics, chromatin regulation, and polymerase pausing. Its consistent performance makes it suitable for Western blotting, chromatin immunoprecipitation, and immunofluorescence, where precise detection of RNA polymerase II activity is required.

Research using clone CTD 4H8 has demonstrated how POLR2A phosphorylation patterns reflect transcriptional states. Detection of hypophosphorylated versus hyperphosphorylated forms allows investigators to distinguish between initiation and elongation phases of transcription. This antibody has also supported studies exploring how transcription is altered in cancer, where mutations in regulatory factors disrupt polymerase function. By tracking POLR2A status, researchers gain insight into fundamental gene expression mechanisms and their disease-related alterations.

NSJ Bioreagents supplies this POLR2A antibody to support transcription research, epigenetics, and oncology. Alternate terms include RNA polymerase II subunit A antibody, RPB1 antibody, CTD repeat antibody, RNA polymerase II large subunit antibody, and transcriptional machinery antibody.

Application Notes

Optimal dilution of the recombinant POLR2A antibody should be determined by the researcher.

1. The prediluted format is supplied in a dropper bottle and is optimized for use in IHC. After epitope retrieval step (if required), drip mAb solution onto the tissue section and incubate at RT for 30 min.

Immunogen

The immunogen for this POLR2A antibody was 10 repeats of synthetic peptide YSPTSPS using chemically synthesized phospho-S5.

Storage

Store the POLR2A antibody at 2-8oC (with azide) or aliquot and store at -20oC or colder (without azide).

Cross
Bulk Quote Request Form
Name*:
Organization*:
Email*:
Phone Number*:
Catalog No.*:
Comments and Specifics(amount, formulation, etc.)*:
Validation code: Captchapackage Image


Can't read the image? click here to refresh.
    *required field

Your bulk quote request has been submitted successfully!

Please contact us if you have any questions.