• Tel: 858.663.9055
  • SeparatorEmail: info@nsjbio.com
  • Tel: 858.663.9055
  • Email: info@nsjbio.com
Home >> Antibodies >> POLE3 Antibody / CHRAC17

POLE3 Antibody / CHRAC17 [clone PCRP-POLE3-2F10] (V9234)

  Catalog No Formulation Size Price (USD)  
Image V9234-100UG 0.2 mg/ml in 1X PBS with 0.1 mg/ml BSA (US sourced), 0.05% sodium azide 100 ug 539
Image
V9234-20UG 0.2 mg/ml in 1X PBS with 0.1 mg/ml BSA (US sourced), 0.05% sodium azide 20 ug 249
Image
V9234SAF-100UG 1 mg/ml in 1X PBS; BSA free, sodium azide free 100 ug 539
Microvalidated
Bulk quote request
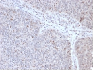
IHC staining of FFPE human lymphoma tissue with POLE3 antibody (clone PCRP-POLE3-2F10) at 2ug/ml. HIER: boil tissue sections in pH 9 10mM Tris with 1mM EDTA for 20 min and allow to cool before testing.
FACS staining of PFA-fixed human K562 cells with POLE3 antibody (blue, clone PCRP-POLE3-2F10) and isotype control (red).
SDS-PAGE analysis of purified, BSA-free POLE3 antibody (clone PCRP-POLE3-2F10) as confirmation of integrity and purity.
Analysis of HuProt(TM) microarray containing more than 19,000 full-length human proteins using POLE3 antibody (clone PCRP-POLE3-2F10). These results demonstrate the foremost specificity of the PCRP-POLE3-2F10 mAb. Z- and S- score: The Z-score represents the strength of a signal that an antibody (in combination with a fluorescently-tagged anti-IgG secondary Ab) produces when binding to a particular protein on the HuProt(TM) array. Z-scores are described in units of standard deviations (SD's) above the mean value of all signals generated on that array. If the targets on the HuProt(TM) are arranged in descending order of the Z-score, the S-score is the difference (also in units of SD's) between the Z-scores. The S-score therefore represents the relative target specificity of an Ab to its intended target.
Availability 1-3 business days
Species Reactivity Human
Format Purified
Clonality Monoclonal (mouse origin)
Isotype Mouse IgG1
Clone Name PCRP-POLE3-2F10
Purity Protein A/G affinity
UniProt Q9NRF9
Localization Nucleus, Cytoplasm
Applications Flow Cytometry : 1-2ug/million cells
Immunofluorescence : 1-2ug/ml
Immunohistochemistry (FFPE) : 1-2ug/ml
Limitations This POLE3 antibody is available for research use only.
Review this product on BioCompare and get a $20 Amazon gift card

Related Products

Description

DNA replication is initiated by the binding of initiation factors to the origin of replication. Nucleosomes inhibit access to the replication machinery at these origin sequences. Nucleosome remodeling factors increase the accessibility of nucleosomal DNA to transcriptional regulators. CHRAC15 and CHRAC17 are subunits of the nucleosomal remodeling factor CHRAC (chromatin accessibility complex), which increases the accessibility of nucleosomal DNA in an ATP-dependent manner. Unlike other known chromatin remodeling factors, CHRAC also functions during chromatin assembly by using ATP to convert irregular chromatin into a regular array of nucleosomes with even spacing. This conversion process occurs when CHRAC organizes randomly deposited histones into a regularly spaced array. In the presence of CHRAC, the nucleosomal ATPase ISWI catalyzes several ATP-dependent transitions of chromatin structure.

Application Notes

Optimal dilution of the POLE3 antibody should be determined by the researcher.

Immunogen

Recombinant full-length human DNA polymerase epsilon subunit 3 protein was used as the immunogen for the POLE3 antibody.

Storage

Aliquot the POLE3 antibody and store frozen at -20oC or colder. Avoid repeated freeze-thaw cycles.

Cross
Bulk Quote Request Form
Name*:
Organization*:
Email*:
Phone Number*:
Catalog No.*:
Comments and Specifics(amount, formulation, etc.)*:
Validation code: Captchapackage Image


Can't read the image? click here to refresh.
    *required field

Your bulk quote request has been submitted successfully!

Please contact us if you have any questions.