• Tel: 858.663.9055
  • SeparatorEmail: info@nsjbio.com
  • Tel: 858.663.9055
  • Email: info@nsjbio.com
Home >> Antibodies >> POLB Antibody / DNA Polymerase beta

POLB Antibody / DNA Polymerase beta [clone ACGH-16] (RQ5162)

  Catalog No Formulation Size Price (USD)  
Image RQ5162 Antibody in PBS with 0.02% sodium azide, 50% glycerol and 0.4-0.5mg/ml BSA 100 ul 439
Microvalidated Rab Mono Image
Bulk quote request
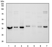
Western blot testing with POLB antibody. Predicted molecular weight ~38 kDa.
Availability 1-2 weeks
Species Reactivity Human
Format Purified
Clonality Rabbit Monoclonal
Isotype Rabbit IgG
Clone Name ACGH-16
Purity Affinity purified
UniProt P06746
Applications Western Blot : 1:500-1:2000
Limitations This POLB antibody is available for research use only.
Review this product on BioCompare and get a $20 Amazon gift card

Related Products

Description

The protein encoded by this gene is a DNA polymerase involved in base excision and repair, also called gap-filling DNA synthesis. The encoded protein, acting as a monomer, is normally found in the cytoplasm, but it translocates to the nucleus upon DNA damage. [RefSeq]

Application Notes

Optimal dilution of the POLB antibody should be determined by the researcher.

Immunogen

A synthetic peptide specific to human DNA Polymerase beta / POLB was used as the immunogen for the POLB antibody.

Storage

Store the POLB antibody at -20oC.

Cross
Bulk Quote Request Form
Name*:
Organization*:
Email*:
Phone Number*:
Catalog No.*:
Comments and Specifics(amount, formulation, etc.)*:
Validation code: Captchapackage Image


Can't read the image? click here to refresh.
    *required field

Your bulk quote request has been submitted successfully!

Please contact us if you have any questions.