• Tel: 858.663.9055
  • SeparatorEmail: info@nsjbio.com
  • Tel: 858.663.9055
  • Email: info@nsjbio.com
Home >> Antibodies >> POGLUT1 Antibody / CLP46 / Rumi

POGLUT1 Antibody / CLP46 / Rumi (RQ6507)

  Catalog No Formulation Size Price (USD)  
Image RQ6507 0.5mg/ml if reconstituted with 0.2ml sterile DI water 100 ug 439
Bulk quote request
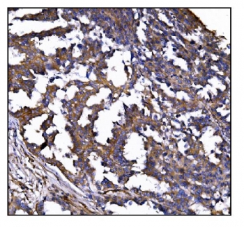
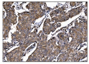
IHC staining of FFPE human ovarian cancer tissue with POGLUT1 antibody. HIER: boil tissue sections in pH8 EDTA for 20 min and allow to cool before testing.
IHC staining of FFPE human lymphoma tissue with POGLUT1 antibody. HIER: boil tissue sections in pH8 EDTA for 20 min and allow to cool before testing.
IHC staining of FFPE human breast cancer tissue with POGLUT1 antibody. HIER: boil tissue sections in pH8 EDTA for 20 min and allow to cool before testing.
IHC staining of FFPE human gallbladder adenocarcinoma tissue with POGLUT1 antibody. HIER: boil tissue sections in pH8 EDTA for 20 min and allow to cool before testing.
IHC staining of FFPE human gastric cancer tissue with POGLUT1 antibody. HIER: boil tissue sections in pH8 EDTA for 20 min and allow to cool before testing.
IHC staining of FFPE human lung cancer tissue with POGLUT1 antibody. HIER: boil tissue sections in pH8 EDTA for 20 min and allow to cool before testing.
IHC staining of FFPE human placental tissue with POGLUT1 antibody. HIER: boil tissue sections in pH8 EDTA for 20 min and allow to cool before testing.
Immunofluorescent staining of FFPE human T-47D cells with POGLUT1 antibody (green) and DAPI nuclear stain (blue). HIER: steam section in pH6 citrate buffer for 20 min.
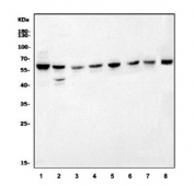
Western blot testing of human 1) HL60, 2) HepG2, 3) U-87 MG, 4) Raji, 5) Jurkat, 6) Hela, 7) mouse thymus and 8) mouse ADA-1 cell lysate with POGLUT1 antibody. Predicted molecular weight ~46 kDa but may be observed at larger molecular weights due to glycosylation.
Availability 1-3 business days
Species Reactivity Human, Mouse
Format Antigen affinity purified
Clonality Polyclonal (rabbit origin)
Isotype Rabbit IgG
Purity Affinity purified
Buffer Lyophilized from 1X PBS with 2% Trehalose
UniProt Q8NBL1
Localization Cytoplasmic
Applications Western Blot : 1-2ug/ml
Immunohistochemistry (FFPE) : 2-5ug/ml
Immunofluorescence : 5ug/ml
Limitations This POGLUT1 antibody is available for research use only.
Review this product on BioCompare and get a $20 Amazon gift card

Description

This gene encodes a protein with both O-glucosyltransferase and O-xylosyltransferase activity which localizes to the lumen of the endoplasmic reticulum. This protein has a carboxy-terminal KTEL motif which is predicted to function as an endoplasmic reticulum retention signal. This gene is an essential regulator of Notch signalling and likely plays a role in cell fate and tissue formation during development. It may also play a role in the pathogenesis of leukemia. Mutations in this gene have been associated with the autosomal dominant genodermatosis Dowling-Degos disease 4. Alternative splicing results in multiple transcript variants.

Application Notes

Optimal dilution of the POGLUT1 antibody should be determined by the researcher.

Immunogen

Amino acids KTDLSNVQELLQFVKANDDVAQEIAER from the human protein were used as the immunogen for the POGLUT1 antibody.

Storage

After reconstitution, the POGLUT1 antibody can be stored for up to one month at 4oC. For long-term, aliquot and store at -20oC. Avoid repeated freezing and thawing.

Cross
Bulk Quote Request Form
Name*:
Organization*:
Email*:
Phone Number*:
Catalog No.*:
Comments and Specifics(amount, formulation, etc.)*:
Validation code: Captchapackage Image


Can't read the image? click here to refresh.
    *required field

Your bulk quote request has been submitted successfully!

Please contact us if you have any questions.