• Tel: 858.663.9055
  • SeparatorEmail: info@nsjbio.com
  • Tel: 858.663.9055
  • Email: info@nsjbio.com
Home >> Antibodies >> PNPT1 Antibody

PNPT1 Antibody (RQ5912)

  Catalog No Formulation Size Price (USD)  
Image RQ5912 0.5mg/ml if reconstituted with 0.2ml sterile DI water 100 ug 439
Bulk quote request
IHC staining of FFPE human tonsil with PNPT1 antibody. HIER: boil tissue sections in pH8 EDTA for 20 min and allow to cool before testing.
IHC staining of FFPE human breast cancer with PNPT1 antibody. HIER: boil tissue sections in pH8 EDTA for 20 min and allow to cool before testing.
IHC staining of FFPE human gastric cancer with PNPT1 antibody. HIER: boil tissue sections in pH8 EDTA for 20 min and allow to cool before testing.
IHC staining of FFPE rat brain with PNPT1 antibody. HIER: boil tissue sections in pH8 EDTA for 20 min and allow to cool before testing.
Immunofluorescent staining of FFPE human A431 cells with PNPT1 antibody (red) and DAPI nuclear stain (blue). HIER: steam section in pH6 citrate buffer for 20 min.
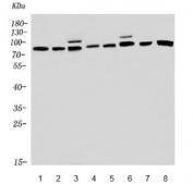
Western blot testing of 1) rat brain, 2) rat kidney, 3) rat C6, 4) mouse brain, 5) mouse kidney, 6) mouse Neuro-2a, 7) human K562 and 8) human ThP-1 lysate with PNPT1 antibody. Predicted molecular weight ~86 kDa.
Flow cytometry testing of human ThP-1 cells with PNPT1 antibody at 1ug/million cells (blocked with goat sera); Red=cells alone, Green=isotype control, Blue= PNPT1 antibody.
Availability 1-3 business days
Species Reactivity Human, Mouse, Rat
Format Antigen affinity purified
Clonality Polyclonal (rabbit origin)
Isotype Rabbit IgG
Purity Affinity purified
Buffer Lyophilized from 1X PBS with 2% Trehalose and 0.025% sodium azide
UniProt Q8TCS8
Applications Western Blot : 0.5-1ug/ml
Immunohistochemistry : 1-2ug/ml
Immunofluorescence : 2-4ug/ml
Flow Cytometry : 1-3ug/million cells
Direct ELISA : 0.1-0.5ug/ml
Limitations This PNPT1 antibody is available for research use only.
Review this product on BioCompare and get a $20 Amazon gift card

Description

The protein encoded by this gene belongs to the evolutionary conserved polynucleotide phosphorylase family comprised of phosphate dependent 3'-to-5' exoribonucleases implicated in RNA processing and degradation. This enzyme is predominantly localized in the mitochondrial intermembrane space and is involved in import of RNA to mitochondria. Mutations in this gene have been associated with combined oxidative phosphorylation deficiency-13 and autosomal recessive nonsyndromic deafness-70. Related pseudogenes are found on chromosomes 3 and 7.

Application Notes

Optimal dilution of the PNPT1 antibody should be determined by the researcher.

Immunogen

Recombinant human protein (amino acids M1-Q257) was used as the immunogen for the PNPT1 antibody.

Storage

After reconstitution, the PNPT1 antibody can be stored for up to one month at 4oC. For long-term, aliquot and store at -20oC. Avoid repeated freezing and thawing.

Cross
Bulk Quote Request Form
Name*:
Organization*:
Email*:
Phone Number*:
Catalog No.*:
Comments and Specifics(amount, formulation, etc.)*:
Validation code: Captchapackage Image


Can't read the image? click here to refresh.
    *required field

Your bulk quote request has been submitted successfully!

Please contact us if you have any questions.