• Tel: 858.663.9055
  • SeparatorEmail: info@nsjbio.com
  • Tel: 858.663.9055
  • Email: info@nsjbio.com
Home >> Antibodies >> PNPLA3 Antibody

PNPLA3 Antibody (R33792)

  Catalog No Formulation Size Price (USD)  
Image R33792-100UG 0.5 mg/ml in 1X TBS, pH7.3, with 0.5% BSA (US sourced) and 0.02% sodium azide 100 ug 449
Bulk quote request
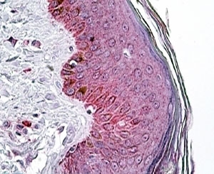
IHC staining of FFPE human skin with PNPLA3 antibody at 4ug/ml. HIER: steamed with pH6 citrate buffer, AP-staining.
Western blot testing of mouse heart lysate with PNPLA3 antibody at 0.05ug/ml. Expected molecular weight: ~45 kDa.
Western blot of mouse (A) and rat (B) adrenal gland lysate with PNPLA3 antibody at 0.01ug/ml. Expected molecular weight: ~45 kDa.
Availability 1-3 business days
Species Reactivity Human, Mouse, Rat
Predicted Reactivity Dog, Pig
Format Antigen affinity purified
Clonality Polyclonal (goat origin)
Isotype Goat Ig
Purity Antigen affinity
Gene ID 80339
Applications Western Blot : 0.05-0.2ug/ml
Immunohistochemistry (FFPE) : 4-6ug/ml
ELISA (peptide) LOD : 1:128000
Limitations This PNPLA3 antibody is available for research use only.
Review this product on BioCompare and get a $20 Amazon gift card

Related Products

  • Applications : WB
    Reactivity : Human

Description

Additional name(s) for this target protein: Patatin-like phospholipase domain containing 3; Adiponutrin

Application Notes

Optimal dilution of the PNPLA3 antibody should be determined by the researcher.

Immunogen

Amino acids EHDICPKVKSTN were used as the immunogen for this PNPLA3 antibody.

Storage

Aliquot and store the PNPLA3 antibody at -20oC.

Cross
Bulk Quote Request Form
Name*:
Organization*:
Email*:
Phone Number*:
Catalog No.*:
Comments and Specifics(amount, formulation, etc.)*:
Validation code: Captchapackage Image


Can't read the image? click here to refresh.
    *required field

Your bulk quote request has been submitted successfully!

Please contact us if you have any questions.