• Tel: 858.663.9055
  • SeparatorEmail: info@nsjbio.com
  • Tel: 858.663.9055
  • Email: info@nsjbio.com
Home >> Antibodies >> PNLIP Antibody / Pancreatic triacylglycerol lipase

PNLIP Antibody / Pancreatic triacylglycerol lipase [clone PNLIP/8913] (V5495)

  Catalog No Formulation Size Price (USD)  
Image V5495-100UG 0.2 mg/ml in 1X PBS with 0.1 mg/ml BSA (US sourced), 0.05% sodium azide 100 ug 539
Image
V5495-20UG 0.2 mg/ml in 1X PBS with 0.1 mg/ml BSA (US sourced), 0.05% sodium azide 20 ug 249
Image
V5495SAF-100UG 1 mg/ml in 1X PBS; BSA free, sodium azide free 100 ug 539
Bulk quote request
Western blot testing of human pancreas tissue lysate with PNLIP antibody. Predicted molecular weight ~51 kDa.
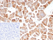
IHC staining of FFPE human pancreas tissue with Pancreatic lipase antibody (clone PNLIP/8913). Inset: PBS used in place of primary Ab (secondary Ab negative control). HIER: boil tissue sections in pH 9 10mM Tris with 1mM EDTA for 20 min and allow to cool before testing.
SDS-PAGE analysis of purified, BSA-free Pancreatic lipase antibody (clone PNLIP/8913) as confirmation of integrity and purity.
Availability 1-3 business days
Species Reactivity Human
Format Purified
Clonality Monoclonal (mouse origin)
Isotype Mouse IgG1, kappa
Clone Name PNLIP/8913
Purity Protein A/G affinity
UniProt P16233
Localization Secreted
Applications Immunohistochemistry (FFPE) : 1-2ug/ml
Western Blot : 2-4ug/ml
Limitations This PNLIP antibody is available for research use only.
Review this product on BioCompare and get a $20 Amazon gift card

Related Products

Description

Pancreatic triacylglycerol lipase (PNLIP) plays an important role in fat metabolism.

Application Notes

Optimal dilution of the PNLIP antibody should be determined by the researcher.

Immunogen

A recombinant fragment (within amino acids 1-200) of human Pancreatic triacylglycerol lipase protein was used as the immunogen for the PNLIP antibody.

Storage

Aliquot the PNLIP antibody and store frozen at -20oC or colder. Avoid repeated freeze-thaw cycles.

Cross
Bulk Quote Request Form
Name*:
Organization*:
Email*:
Phone Number*:
Catalog No.*:
Comments and Specifics(amount, formulation, etc.)*:
Validation code: Captchapackage Image


Can't read the image? click here to refresh.
    *required field

Your bulk quote request has been submitted successfully!

Please contact us if you have any questions.