• Tel: 858.663.9055
  • SeparatorEmail: info@nsjbio.com
  • Tel: 858.663.9055
  • Email: info@nsjbio.com
Home >> Antibodies >> PNLIP Antibody / Pancreatic lipase

PNLIP Antibody / Pancreatic lipase [clone PNLIP/9039] (V5496)

  Catalog No Formulation Size Price (USD)  
Image V5496-100UG 0.2 mg/ml in 1X PBS with 0.1 mg/ml BSA (US sourced), 0.05% sodium azide 100 ug 539
Image
V5496-20UG 0.2 mg/ml in 1X PBS with 0.1 mg/ml BSA (US sourced), 0.05% sodium azide 20 ug 249
Image
V5496SAF-100UG 1 mg/ml in 1X PBS; BSA free, sodium azide free 100 ug 539
Bulk quote request
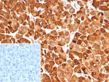
IHC staining of FFPE human pancreas tissue with Pancreatic lipase antibody (clone PNLIP/9039). Inset: PBS used in place of primary Ab (secondary Ab negative control). HIER: boil tissue sections in pH 9 10mM Tris with 1mM EDTA for 20 min and allow to cool before testing.
SDS-PAGE analysis of purified, BSA-free Pancreatic lipase antibody (clone PNLIP/9039) as confirmation of integrity and purity.
Availability 1-3 business days
Species Reactivity Human
Format Purified
Clonality Monoclonal (mouse origin)
Isotype Mouse IgG2b, kappa
Clone Name PNLIP/9039
Purity Protein A/G affinity
UniProt P16233
Localization Secreted
Applications Immunohistochemistry (FFPE) : 1-2ug/ml
Limitations This PNLIP antibody is available for research use only.
Review this product on BioCompare and get a $20 Amazon gift card

Related Products

Description

The lipase gene family belongs to one of the most robust genetic superfamilies found in living organisms, which includes esterases and thioesterases. Members of the AB hydrolase subfamily include hepatic lipase (HL), endothelial lipase (EL), lipoprotein lipase (LPL), Pancreatic Lipase (PL), gastric lipase (GL) and LCAT. These family members play a crucial role in the metabolism of lipids. Pancreatic Lipase, also designated pancreatic triacylglycerol acyl hydrolase, is important for dietary fat absorption as it hydrolyses triglycerides into diglycerides, monoglycerides and free fatty acids.

Application Notes

Optimal dilution of the PNLIP antibody should be determined by the researcher.

Immunogen

A recombinant fragment (within amino acids 1-200) of human PNLIP protein was used as the immunogen for the PNLIP antibody.

Storage

Aliquot the PNLIP antibody and store frozen at -20oC or colder. Avoid repeated freeze-thaw cycles.

Cross
Bulk Quote Request Form
Name*:
Organization*:
Email*:
Phone Number*:
Catalog No.*:
Comments and Specifics(amount, formulation, etc.)*:
Validation code: Captchapackage Image


Can't read the image? click here to refresh.
    *required field

Your bulk quote request has been submitted successfully!

Please contact us if you have any questions.