• Tel: 858.663.9055
  • SeparatorEmail: info@nsjbio.com
  • Tel: 858.663.9055
  • Email: info@nsjbio.com
Home >> Antibodies >> PMEPA1 Antibody / TMEPAI

PMEPA1 Antibody / TMEPAI [clone PTAI1-1] (V7347)

  Catalog No Formulation Size Price (USD)  
Image V7347-100UG 0.2 mg/ml in 1X PBS with 0.1 mg/ml BSA (US sourced) and 0.05% sodium azide 100 ug 539
Image
V7347-20UG 0.2 mg/ml in 1X PBS with 0.1 mg/ml BSA (US sourced) and 0.05% sodium azide 20 ug 249
Image
V7347SAF-100UG 1 mg/ml in 1X PBS; BSA free, sodium azide free 100 ug 539
Image
V7347IHC-7ML Prediluted in 1X PBS with 0.1 mg/ml BSA (US sourced) and 0.05% sodium azide; *For IHC use only* 7 ml 539
Bulk quote request
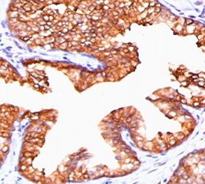
IHC staining of FFPE human prostate carcinoma with PMEPA1 antibody (clone PTAI1-1). HIER: boil tissue sections in pH 9 10mM Tris with 1mM EDTA for 10-20 min and allow to cool before testing.
Availability 1-3 business days
Species Reactivity Human
Format Purified
Clonality Monoclonal (mouse origin)
Isotype Mouse IgG
Clone Name PTAI1-1
Purity Protein G affinity chromatography
UniProt Q969W9
Localization Cell surface, cytoplasm
Applications Immunohistochemistry (FFPE) : 1-2ug/ml for 30 min at RT
Prediluted IHC Only Format : incubate for 30 min at RT (1)
Limitations This PMEPA1 antibody is available for research use only.
Review this product on BioCompare and get a $20 Amazon gift card

Related Products

Description

PMEPA1 (prostate transmembrane protein, androgen induced 1), or TMEPAI (Transmembrane prostate androgen induced protein) is a 287 amino acid single-pass membrane protein that contains WW-binding motifs and localizes to the cell membrane. Expressed at high levels in prostate, kidney and ovary, PMEPA1 interacts with NEDD4 and may play a role in regulating AR (androgen receptor) levels, specifically in prostate cells. Down regulation of PMEPA1 is observed in prostate tumors, suggesting that PMEPA1 may exhibit activity as a tumor suppressor. Overexpression of this protein may play a role in multiple types of cancer.

Application Notes

Optimal dilution of the PMEPA1 antibody should be determined by the researcher.

1. The prediluted format is supplied in a dropper bottle and is optimized for use in IHC. After epitope retrieval step (if required), drip mAb solution onto the tissue section and incubate at RT for 30 min.

Immunogen

Full-length recombinant human protein was used as the immunogen for the PMEPA1 antibody.

Storage

Store the PMEPA1 antibody at 2-8oC (with azide) or aliquot and store at -20oC or colder (without azide).

Cross
Bulk Quote Request Form
Name*:
Organization*:
Email*:
Phone Number*:
Catalog No.*:
Comments and Specifics(amount, formulation, etc.)*:
Validation code: Captchapackage Image


Can't read the image? click here to refresh.
    *required field

Your bulk quote request has been submitted successfully!

Please contact us if you have any questions.